全瓷牙以美观、耐用著称,但市场上价格从600元到3000元不等,患者往往难以选择。以下从不同价位的全瓷牙特点入手,帮助大家做出理性决定。
一、全瓷牙3000元一颗贵吗?
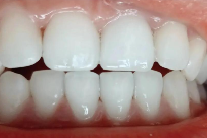
3000元一颗的全瓷牙属于中高端价位,价格虽高,但质量和效果值得信赖。

这种价位的全瓷牙一般采用进口高端材料,如德国威兰德、美国拉瓦的二氧化锆,生物相容性强,耐磨性佳。它们在颜色、光泽、通透度方面表现突出,与自然牙齿非常接近,能够实现以假乱真的效果。此外,高质量材料使这类全瓷牙的使用寿命达到10年以上,适合对美观和耐用性要求较高的患者,尤其适合前牙修复。
二、爱尔创全瓷牙800元一颗质量如何?
爱尔创是国内知名品牌,全瓷牙800元一颗的价格属于其低端系列,性价比较高,但在质量和美观度上略逊色。
这种价位的全瓷牙多采用普通国产材料,耐磨性和光泽度一般。虽然能够满足基础的修复需求,但在复杂修复或高美观需求场景中可能显得不足。建议预算有限且对牙齿位置不明显的患者选择,同时务必在正规机构操作,以确保安全和效果。
三、1200元一颗的全瓷牙能做吗?
1200元一颗的全瓷牙在市场上属于中低端价位,适合预算有限但希望兼顾美观和耐用性的患者。
这种价位的全瓷牙通常采用国产材料或进口低端产品,能满足大多数患者的基本修复需求。虽然颜色和光泽稍逊高端产品,但在后牙修复或对美观要求不高的情况下表现良好,使用寿命通常为5-10年。
四、600元一颗的全瓷牙好吗?
600元的全瓷牙价格非常低,虽然可以完成修复功能,但在材料、工艺和美观度方面存在明显不足。
这类全瓷牙多采用廉价材料,耐磨性和颜色逼真度较差,容易出现磨损或崩裂问题,使用寿命较短。光泽和色泽与自然牙存在差距,可能影响整体口腔美观。此类修复适合预算极低或短期临时使用的患者,但长期效果难以保证。

五、全瓷牙1000元一颗贵吗?
全瓷牙1000元的价格属于中低端范围,能满足基本的功能和美观需求,适合预算适中的患者。
这种价位的全瓷牙多采用国产材料,颜色和光泽较接近自然牙,耐用性也能够满足日常使用需求。它的使用寿命一般为5-10年,适合对美观和预算均衡考量的患者。
六、不同价位全瓷牙的主要差异
1、材料:
高端全瓷牙(3000元左右)多采用进口优质材料,具有良好的生物相容性、强度和耐用性;中低端价位(1200元、1000元左右)可能选用国产材料或低端进口产品;低端(600元、800元)则多为普通国产材料,性能有限。
2、美观度:
高端全瓷牙颜色和光泽非常接近自然牙,能实现以假乱真;中端产品效果较好,但精细度稍逊;低端产品在颜色和光泽上存在差异,可能影响整体口腔美观。
3、耐用性:
高端产品使用寿命通常超过10年,中端产品约5-10年,低端产品寿命较短,可能容易磨损或崩裂。
建议在专业医生的指导下,根据自身需求选择合适价位的全瓷牙,同时确保在正规医疗机构操作,以获得理想的修复效果。

发表评论 取消回复