在口腔修复领域,烤瓷牙是一种常见的治疗方式,但特别多人都会问:“烤瓷牙有必要做吗?”其实,这个问题没有完全地的答案,它取决于个人的牙齿状况和需求。本文将从烤瓷牙的适用情况、不适用情况以及其他注意事项等方面,揭示三大理由,让你了解做烤瓷牙是否有必要,帮助你做出更合适的决策。
哪些情况做烤瓷牙特别有必要
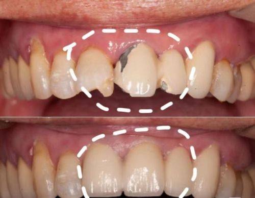
当牙齿出现一些问题时,烤瓷牙能发挥良好的作用。首先,如果因为龋齿、外伤等导致牙齿大面积缺损,烤瓷牙就像是牙齿的“保护盔甲”。它不仅能让牙齿变得稳固,还能修复牙齿的正常功能,让你可以正常咀嚼食物。同时,它的外观也特别美观,能改善牙齿缺损带来的不美观问题。
对于变色牙,像四环素牙和氟斑牙,烤瓷牙也有独特的优势。医生可以根据你牙齿原本的颜色进行对比,制作出和自然牙齿颜色相近的烤瓷牙,这样就能有效修复牙齿的自然美观,让你拥有自信的笑容。
还有那些存在畸形小牙、釉质发育不全或者牙齿错位等发育不良问题的人,烤瓷牙能提供有效的改善方法。它可以帮助患者修复正常的咀嚼功能,同时也能提升面部的美观度,让整体形象得到提升。

哪些情况不适合做烤瓷牙
虽然烤瓷牙有特别多优点,但并不是所有人都适合做。青少年正处于恒牙发育阶段,如果恒牙还没有完全发育好,就不适合安装烤瓷牙。因为这可能会影响牙齿的正常发育,甚至带来一些不必要的问题。
另外,如果患者的牙齿状况非常差,无法为烤瓷牙提供足够的支持,那么也不适合安装烤瓷牙。强行安装可能会导致烤瓷牙不稳定,甚至影响口腔健康。

烤瓷牙的安装和维护要点
安装烤瓷牙后,并不意味着就可以高枕无忧了。患者需要细心地进行口腔卫生管理,每天认真刷牙、使用牙线等,保持口腔清洁。同时,还需要定期去看牙医,进行检查和维护。这样可以及时发现问题并进行处理,确保烤瓷牙的使用寿命和口腔健康。

如何决定是否做烤瓷牙
在考虑是否要做烤瓷牙时,患者应该和牙医进行充分的沟通。牙医会根据你的牙齿状况、生活习惯等因素,给出专精的建议。比如,如果你平时比较喜欢吃硬的食物,那么在选择烤瓷牙时就需要考虑其耐磨性。
同时,你也要结合自己的需求和预算。烤瓷牙有不同的种类和价格,你可以根据自己的实际情况做出选择。总之,要综合多方面因素,做出更合适自己的决定。
口腔健康的通用建议
无论你是否选择做烤瓷牙,保持良好的口腔卫生习惯和定期进行口腔检查都是非常重要的。良好的口腔卫生习惯可以预防特别多口腔问题的发生,而定期检查可以及时发现潜在的问题并进行治疗。
如果你对自己的牙齿有任何问题或疑虑,建议及时询问专精的牙医,他们会为你提供正确的治疗建议。
回到更初的问题“烤瓷牙有必要做吗”,通过以上的分析,相信你已经有了更清晰的认识。如果你的牙齿存在适合做烤瓷牙的情况,那么它可能是一个不错的选择;但如果不适合,就不要盲目安装。在做决定之前,一定要和牙医充分沟通,结合自身情况做出明智的决策。同时,别忘了保持良好的口腔卫生习惯,定期进行口腔检查,让自己拥有健康美丽的牙齿。

发表评论 取消回复