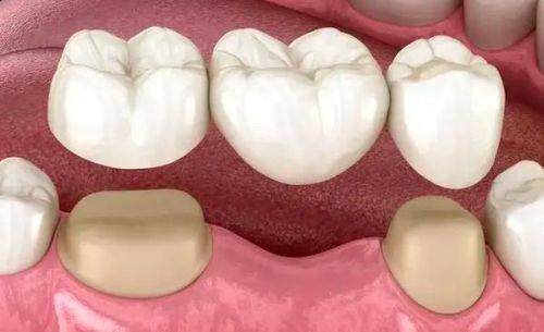
在牙齿修复领域,烤瓷牙是一种常见且有效的方式。烤瓷牙种类丰富,不同的种类有着各自的特点和适用情况。了解这些烤瓷牙种类,能帮助我们根据自身需求和口腔状况做出更合适的选择,让我们拥有更迷人的微笑。接下来,就让我们一起深入探索这5种烤瓷牙种类吧。

金属烤瓷牙:坚固耐用的后牙之选
金属烤瓷牙的结构是内层为金属基底冠,外层覆盖瓷层,这使得它具有较高的强度。这种烤瓷牙比较适合后牙修复,尤其是那些对咀嚼力要求较高的患者。不过,它也有一些缺点,金属基底可能会影响核磁共振检查,而且长期使用的话,牙龈边缘可能会出现黑线。
金属烤瓷牙有不同的材质。镍铬合金烤瓷牙成本较低,但部分人群可能会对这种金属过敏。而钴铬合金烤瓷牙生物相容性较好,对于预算有限又希望兼顾耐用性的患者来说是个不错的选择。

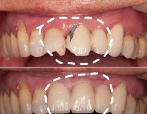
全瓷牙:美学成效的佼佼者
全瓷牙不含金属内冠,它的透光性和天然牙特别接近,美学成效非常优异。对于注重美观且牙体条件允许的患者,尤其是前牙区需要修复的患者来说,全瓷牙是良好的选择。
全瓷牙有不同的类型。二氧化锆全瓷牙抗弯强度高,适合前牙美学修复,对于对金属过敏的患者也特别适用。玻璃陶瓷全瓷牙的透光层次更自然,不过强度略低。但全瓷牙也有缺点,它对牙体预备量要求较高,而且费用相对昂贵。

贵金属烤瓷牙:生物相容性的王者
贵金属烤瓷牙采用金铂合金等材料制作基底冠。它的优点特别明显,生物相容性至佳,长期使用不容易引起牙龈变色。金沉积烤瓷牙边缘密合度极高,能有效减少继发龋的风险。
不过,贵金属烤瓷牙也有不足之处。由于使用了贵金属材质,成本较高,而且金属色泽可能会透过瓷层影响美观。这种烤瓷牙适合对金属耐受性差且预算充足的患者,尤其适用于龈缘位置较深的修复。

钛合金烤瓷牙:兼顾安心与功能
钛合金烤瓷牙结合了纯钛的生物相容性和合金的强度。钛金属导热系数低,能减少对牙髓的刺激,而且不影响医学影像检查。它适合需要兼顾生物安心性与功能修复的病例,比如种植修复或牙周病患者。
但它也有缺点,钛瓷结合强度较传统烤瓷牙稍弱,所以患者需要避免过大的咬合力。

临时烤瓷牙:过渡期的贴心保护
临时烤瓷牙采用树脂材料制作,主要用于恒久修复体完成前的过渡期保护。它有不同的类型,丙烯酸树脂临时牙便于调整形态,但耐磨性较差。复合树脂临时牙强度较高,可以短期承担咀嚼功能。
使用临时烤瓷牙时需要注意避免吃实力强的食物,使用周期一般不超过3个月。它适合需要分阶段治疗或等待恒久修复体制作的患者。
综上所述,烤瓷牙种类多样,每种都有其独特的优势和适用情况。在选择烤瓷牙时,我们要综合考虑自身的口腔状况、预算、美观需求等因素。如果对金属过敏,全瓷牙或贵金属烤瓷牙可能更合适;如果预算有限且需要修复后牙,金属烤瓷牙中的钴铬合金烤瓷牙是个不错的选择;对于需要过渡期保护的患者,临时烤瓷牙能解燃眉之急。希望大家都能根据自己的情况选到适合的烤瓷牙,绽放迷人的微笑!如果你还有关于烤瓷牙种类的疑问,不妨询问专精的口腔医生,他们会为你提供更详细的建议。

发表评论 取消回复