你是否好奇烤瓷牙一般寿命多久?其实这背后藏着持久美齿的秘密。烤瓷牙作为常见的牙齿修复方式,其寿命受多种因素影响。了解烤瓷牙的寿命不仅能让我们对牙齿修复有更清晰的认知,还能帮助我们更好地维护口腔健康。接下来,就让我们一起深入探究烤瓷牙的寿命相关知识,揭开持久美齿的神秘面纱。
烤瓷牙寿命的大致范围
烤瓷牙一般寿命多久呢?通常来说,烤瓷牙的使用寿命在5 - 15年。不过,这个时间并不是固定的,它会受到日常维护、饮食习惯、口腔健康状况以及制作工艺等多种因素的影响。就像不同的人开车,驾驶习惯和保养情况不同,汽车的使用寿命也会有较大差异。如果日常维护得当,饮食习惯良好,口腔健康状况佳,且烤瓷牙制作精良,那么烤瓷牙的使用时间可能会更长;反之,如果不注意这些方面,烤瓷牙的寿命可能就会缩短。

5 - 7年的理想使用阶段
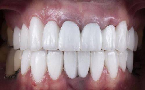
在理想状态下,也就是患者口腔卫生习惯良好,没有牙周疾病,并且烤瓷牙制作精良时,烤瓷牙使用5 - 7年是比较常见的情况。在这个阶段,烤瓷牙修复体通常能保持良好的形态和功能。它不会有明显的崩瓷现象,也不容易出现继发龋坏。患者在使用过程中不适感较小,而且修复体的颜色和邻牙看起来特别协调,就像原本的牙齿一样自然。要是患者能严格按照医生的嘱咐进行维护,比如好好刷牙、定期检查等,烤瓷牙的使用时间还能更久。

7 - 15年的问题高发期
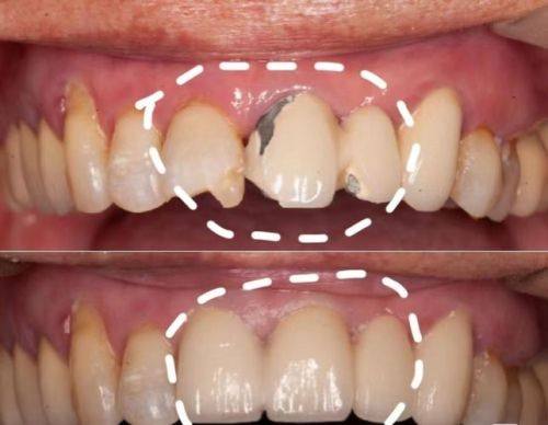
当烤瓷牙使用到7 - 15年时,出现问题的概率就会增加。可能会出现烤瓷牙边缘崩瓷的情况,瓷层也可能会有细微的裂纹,这不仅影响美观,还可能会影响烤瓷牙的使用。另外,牙龈萎缩可能会导致烤瓷牙边缘暴露出来,让牙齿看起来不太美观。基牙的健康状况也可能发生变化,比如基牙可能会继发龋坏,支撑烤瓷牙的牙根可能会因为牙周炎而松动。原先用于粘接烤瓷牙的粘接剂也可能会老化,这样烤瓷牙和牙齿之间就会出现微渗漏,细菌特别容易进入,从而腐蚀牙齿。对于那些有夜磨牙或者紧咬牙习惯的患者来说,烤瓷牙承受的咬合力过大,会加速磨损或者崩裂。

影响烤瓷牙寿命的因素
日常维护对烤瓷牙的寿命影响较大。如果能建立并坚持良好的口腔卫生习惯,比如每天早晚认真刷牙,使用牙线清洁牙缝,定期进行口腔检查和专精洁牙,就能减少细菌滋生,降低烤瓷牙出现问题的概率。饮食习惯也特别关键,避免用烤瓷牙进行非咀嚼性操作,像啃咬过于坚硬的食物,如骨头、坚果壳,甚至用烤瓷牙开瓶盖等,这些行为都会对烤瓷牙造成损伤。此外,烤瓷牙的制作工艺也不容忽视。制作精良的烤瓷牙,其质量和适配度更好,使用寿命也会相对更长。

延长烤瓷牙寿命的方法
想要延长烤瓷牙的寿命,首先要建立并坚持良好的口腔卫生习惯。每天早晚刷牙是必不可少的,刷牙时要注意方法,确保牙齿的每个面都能刷到。使用牙线清洁牙缝也特别重要,它能清除牙齿间的食物残渣和细菌。定期进行口腔检查和专精洁牙,可以及时发现烤瓷牙和口腔的问题,并进行处理。其次,要避免用烤瓷牙啃咬过于坚硬的食物,尽量选择柔软、易咀嚼的食物。末尾,要时刻关注烤瓷牙的状态,一旦发现有崩瓷、松动或者基牙疼痛等症状,要及时就诊,让口腔医生评估是否需要调整、修补或者重新制作烤瓷牙。
综上所述,烤瓷牙一般寿命多久并没有一个确切的答案,它受到多种因素的综合影响。不过,通过了解这些影响因素,并采取有效的延长寿命的方法,我们可以让烤瓷牙陪伴我们更久,拥有持久的美齿成效。如果你正在考虑做烤瓷牙或者已经安装了烤瓷牙,一定要重视口腔卫生和日常维护,这样才能让你的烤瓷牙发挥较大的作用,保持口腔健康和美丽。

发表评论 取消回复