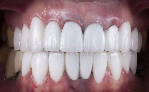
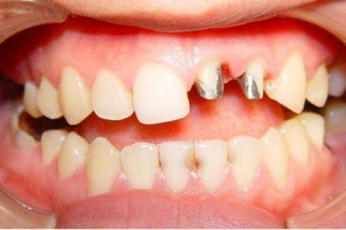
在2026年,烤瓷牙成为了特别多人修复牙齿的选择。但烤瓷牙价格到底如何呢?这是众多口腔患者关心的问题。其实,一颗烤瓷牙的价格通常在几百到几千块左右,不过其价格会受到多种因素影响。了解这些因素,能帮助你在选择烤瓷牙时做出更合适的决策,接下来就为大家详细揭秘烤瓷牙价格的相关情况。

烤瓷牙价格总体范围
烤瓷牙价格跨度较大,一般来说,一颗烤瓷牙的价格通常是几百到几千块左右。这个价格区间主要是因为烤瓷牙的材料、制作工艺以及使用的设备等不同。不同的患者可以根据自己的经济状况和牙齿情况来选择适合自己的烤瓷牙。如果预算有限,几百元的烤瓷牙也能满足基本的牙齿修复需求;而追求更好品质和美观度的患者,则可以考虑几千元的烤瓷牙。

不同材料烤瓷牙价格对比
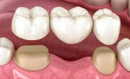
目前市面上常见的烤瓷牙种类有镍铬合金烤瓷牙、钴铬合金烤瓷牙、纯钛烤瓷牙。在价格上,从高到低依次是镍铬合金烤瓷牙、钴铬合金烤瓷牙、纯钛烤瓷牙。
镍铬合金烤瓷牙价格相对较高,它的优点是强度较高,但是镍元素可能会引起部分人的过敏反应。钴铬合金烤瓷牙价格适中,生物相容性较好,对牙龈的刺激相对较小。纯钛烤瓷牙价格相对较低,钛金属具有良好的生物相容性,质量轻,对磁共振检查的影响也较小。患者在选择时,除了考虑烤瓷牙价格,还要结合自身的口腔状况和身体情况。

地区差异对烤瓷牙价格的影响
地区差异对烤瓷牙价格有着明显的影响。一般来说,发达地区的价格高于欠发达地区的价格,一线城市的价格高于二、三线城市的价格。
在发达地区和一线城市,物价水平较高,医疗成本也相对较高,所以烤瓷牙价格会偏高。而在欠发达地区和二、三线城市,各方面成本相对较低,烤瓷牙价格也就相对便宜一些。如果你不着急修复牙齿,并且时间和经济条件允许,可以考虑去价格相对较低的地区进行烤瓷牙修复,但同时也要考虑到医疗质量和后续的复诊等问题。

医院等级对烤瓷牙价格的影响
在同一地区,烤瓷牙的价格会因医院等级不同而有所不同。等级越高的医院,价格越高,一般三等级医院的价格高于二级医院和一级医院的价格。
三等级医院通常拥有更精良的设备、更专精的医生团队和更完善的服务体系,所以价格会相对较高。而二级医院和一级医院的价格相对较低,但在医疗技术和服务方面可能会有所差异。患者在选择医院时,不能仅仅只看烤瓷牙价格,还要综合考虑医院的口碑、医生的经验等因素。
如何选择适合自己的烤瓷牙
在了解了烤瓷牙价格的各种影响因素后,如何选择适合自己的烤瓷牙呢?首先,要根据自己的经济状况来确定价格范围。如果经济条件较好,可以选择质量和美观度都较高的烤瓷牙;如果预算有限,则可以选择价格相对较低的烤瓷牙。
其次,要考虑自己的口腔状况。如果牙齿过敏或者对金属敏感,就要选择生物相容性好的烤瓷牙,如纯钛烤瓷牙。末尾,要选择正规的医院和专精的医生进行烤瓷牙修复,这样才能确保修复成效和安心性。
在2026年,烤瓷牙价格受到多种因素的影响。通过了解烤瓷牙价格的总体范围、不同材料的价格对比、地区差异和医院等级对价格的影响,以及如何选择适合自己的烤瓷牙,相信大家在面对烤瓷牙修复时能做出更明智的决策。在选择烤瓷牙时,不要只看价格,还要综合考虑各方面因素,选择更适合自己的烤瓷牙。如果你有烤瓷牙修复的需求,不妨多询问几家医院,对比不同医院的价格和服务,再做出选择。

发表评论 取消回复