特别多做了烤瓷牙的朋友,在面临核磁共振检查时,都会有这样的疑问:烤瓷牙能做核磁共振吗?其实,这背后的答案并不简单,它涉及到烤瓷牙的类型、检查部位等多个因素。了解这些知识,不仅能让你在面对检查时心中有数,还能避免不必要的担忧。接下来,就让我们一起揭秘烤瓷牙做核磁共振的真相与注意事项。

决定能否做核磁共振的关键因素
烤瓷牙能否做核磁共振,主要取决于其金属成分含量。含金属的烤瓷牙可能会对核磁共振图像质量产生影响,但这并不意味着完全地禁止做核磁共振。金属在强磁场中会产生干扰,从而影响图像的清晰度,但不同金属成分的影响程度是不一样的。所以,当你需要做核磁共振检查时,要先清楚自己烤瓷牙的金属成分情况。
不同类型烤瓷牙的影响差异
不同类型的烤瓷牙在核磁共振检查中的表现各不相同。
传统金属烤瓷牙:这种烤瓷牙含有镍、铬等金属元素。在强磁场环境下,它们会产生伪影。这些伪影就像图像上的“小瑕疵”,会干扰医生对图像的诊断,影响检查结果的正确性。
全瓷烤瓷牙:它较大的优点就是不含金属。这使得它在核磁共振检查中不会产生任何干扰,对检查结果没有任何影响。如果你需要经常进行核磁共振检查,全瓷烤瓷牙是一个不错的选择。
贵金属烤瓷牙:以金合金烤瓷牙为代表,这类烤瓷牙产生的伪影相对较小。虽然还是会有一定影响,但相较于传统金属烤瓷牙,其干扰程度要轻特别多。
非贵金属烤瓷牙:比如镍铬合金烤瓷牙,它在核磁共振检查中会产生明显的伪影。这可能会重度影响图像质量,给医生的诊断带来较大困难。

检查部位对结果的影响
除了烤瓷牙的类型,检查部位也会影响能否做核磁共振以及检查结果。医生会根据检查部位和必要性来评估风险。
如果是头部检查,由于头部的组织结构复杂,对图像质量要求非常高。此时,烤瓷牙产生的伪影可能会对诊断造成较大影响,医生需要更加谨慎地评估。
而四肢检查对图像质量的要求相对较低,烤瓷牙产生的伪影对检查结果的影响可能较小。但这并不意味着可以完全忽略,还是需要告知医生烤瓷牙的情况。

应对烤瓷牙做核磁共振的措施
当你需要做核磁共振检查且有烤瓷牙时,有一些应对措施可以帮助你顺利完成检查。
首先,患者一定要提前告知医生自己的烤瓷牙情况。医生会根据具体情况,可能会调整检查参数,或者采取特殊处理方法。比如使用特定的核磁共振序列,这种序列可以在一定程度上减少伪影的影响。
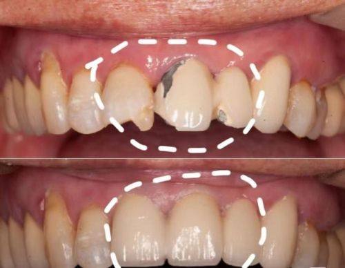
对于那些需要频繁进行核磁共振检查的患者,为了避免金属干扰,可以考虑使用全瓷等非金属材料制作的修复体。这样在后续的检查中就不用担心烤瓷牙对检查结果的影响了。
总结与实用提醒
回到更初的问题:烤瓷牙能做核磁共振吗?答案是要分情况来看。不同类型的烤瓷牙对核磁共振检查的影响不同,检查部位也会影响更终的检查结果。在面对核磁共振检查时,患者要提前告知医生烤瓷牙的情况,医生会根据具体情况采取相应的措施。
如果你不确定自己的烤瓷牙类型,或者对能否做核磁共振有疑问,建议提前询问专精的口腔医生或影像科医生。他们会根据你的具体情况,给出正确的建议和指导,帮助你顺利完成检查。

发表评论 取消回复