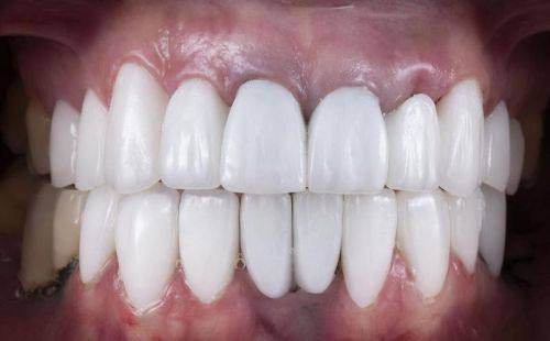
在考虑做烤瓷牙时,特别多人心中都会有这样的疑问:做烤瓷牙要拔掉真牙吗?其实,一般情况下尽量不拔真牙,但需要根据具体情况来分析。这篇文章将为大家详细揭秘做烤瓷牙是否要拔掉真牙的真相,同时介绍相关的注意事项,帮助大家更好地了解烤瓷牙,做出适合自己的选择。

牙根可保留的情况
当原来牙齿的牙根足够长,并且牙体剩余组织较多时,比如因为虫牙或者外伤导致牙齿出现问题,通常是不需要拔掉原来的牙的。像虫牙,可能只是牙齿表面或者内部出现了龋坏,只要牙根状况良好,就可以精良行根管治疗。根管治疗就像是给牙齿做一次深度清洁和修复,把牙齿内部感染的物质清除干净,然后再将牙补起来。之后就可以在这个基础上做烤瓷牙了。保留原本的牙根有一个较大的好处,就是对患者的咬合感比较好,能让牙齿在咀嚼食物时更接近自然牙齿的状态,就好像牙齿还是原来那颗牙齿在发挥作用一样。

牙根无保留价值的情况
如果原来的牙齿坏得比较厉害,剩下的牙根较短,已经没有保留价值了,这种情况下可能就需要将牙拔掉。比如牙齿因为长期的龋坏,牙根已经被重度侵蚀,无法再通过治疗来保留。拔掉牙齿后,可以通过烤瓷桥的形式再做烤瓷牙。烤瓷桥就像是一座“桥”,把缺失牙齿的位置连接起来,利用旁边健康的牙齿作为支撑,来修复牙齿的形态和功能。不过,做烤瓷桥也有一些需要注意的地方,比如需要对旁边的健康牙齿进行一定的磨除,这可能会对健康牙齿造成一定的损伤。

为了美观做烤瓷牙的情况
对于有四环素牙、氟斑牙等情况的人来说,为了改善牙齿的美观而做烤瓷牙或烤瓷贴面,通常是不能将牙拔掉的。而是要将牙磨小一圈后再做烤瓷牙。这是因为四环素牙和氟斑牙主要是牙齿的颜色出现了问题,牙齿本身的结构和功能并没有受到太大的影响。将牙齿磨小一点,就可以为烤瓷牙或者烤瓷贴面留出空间,让它们能够更好地贴合在牙齿表面,达到美观的成效。但是在磨的过程中,有可能会伤到牙神经。一旦伤到牙神经,就需要先做根管治疗,把牙神经处理好后再做烤瓷牙。
做烤瓷牙的注意事项
在决定做烤瓷牙之前,一定要选择正规的口腔医院和有经验的医生。正规的医院设备更精良,医生的技术也更有保护。在做烤瓷牙的过程中,要积极配合医生的检查和治疗。比如在做根管治疗时,要按照医生的要求按时复诊,确保治疗的成效。做完烤瓷牙后,也要注意口腔卫生。要养成良好的刷牙习惯,每天至少刷牙两次,每次刷牙时间不少于三分钟。同时,要避免吃太硬的食物,以免损坏烤瓷牙。
如何判断是否要拔掉真牙
特别多人可能不知道如何判断自己的牙齿是否需要拔掉。其实,更正确的方法就是去医院进行详细的检查。医生会通过口腔检查、X光片等手段,了解牙齿的具体情况。如果牙根状况良好,医生会尽量保留牙齿;如果牙根已经没有保留价值,医生会建议拔掉牙齿。所以,当你有做烤瓷牙的想法时,不要自己盲目判断,一定要及时去医院,让专精的医生为你制定合适的治疗方案。
总之,做烤瓷牙要拔掉真牙吗这个问题,并没有一个固定的答案,需要根据个人的牙齿情况来决定。希望大家通过这篇文章,能够对做烤瓷牙是否要拔掉真牙有更清晰的认识。在决定做烤瓷牙之前,一定要多了解相关知识,选择正规的医院和医生,这样才能让自己拥有健康、美观的牙齿。如果你还有其他关于烤瓷牙的疑问,不妨询问专精的口腔医生,他们会为你提供更详细的解答。

发表评论 取消回复