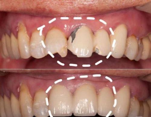
特别多戴了烤瓷牙套的朋友心里都会有个疑问:烤瓷牙套里的牙会烂吗有啥症状?其实,烤瓷牙套本身不会烂,但它包裹的天然牙是有可能出现问题的。了解烤瓷牙套里的牙烂掉可能出现的症状非常重要,这能让我们及时发现问题并采取措施。接下来,我们就详细说说这5个明显症状,帮你守护口腔健康。

烤瓷牙套里的牙会烂吗?先了解原因
要知道烤瓷牙套里的牙会不会烂,得先清楚可能导致牙齿腐烂的原因。首先,如果在做烤瓷牙之前,原本牙齿龋坏的部分没有清理干净,时间一长,这些残留的龋坏组织就会继续发展,导致牙套里的牙腐烂变质。其次,烤瓷牙套和牙齿组织的密合性也特别关键。要是密合不好,菌斑、食物残渣等物质就容易进入牙套和牙齿之间的缝隙,时间久了,牙齿就可能烂掉。另外,日常护理也不能忽视。如果不注意口腔卫生,烤瓷牙边缘和天然牙连接的部分就容易发生炎症等病变,这也可能致使牙套里的牙烂掉。

症状一:牙齿疼痛
牙齿疼痛是烤瓷牙套里的牙烂掉比较常见的症状之一。刚开始的时候,可能只是偶尔有轻微的疼痛,比如在吃冷热酸甜的食物时会有短暂的刺痛感。随着牙齿腐烂情况的加重,疼痛会变得越来越频繁,而且疼痛程度也会加剧,甚至可能会出现自发性的疼痛,就是在没有任何刺激的情况下牙齿也会疼。这种疼痛可能会影响到正常的饮食和睡眠,让人非常难受。
症状二:口腔异味
如果烤瓷牙套里的牙烂了,特别可能会出现口腔异味。这是因为牙齿腐烂会产生一些腐败的物质,这些物质会散发出难闻的气味。即使每天认真刷牙、漱口,口腔异味还是特别难消除。有时候,自己可能感觉不到,但身边的人可能会明显察觉到。如果发现自己有持续的口腔异味,而且排除了其他原因,就要考虑是不是烤瓷牙套里的牙出问题了。

症状三:牙龈红肿出血
当烤瓷牙套里的牙烂掉时,牙龈也会受到影响。牙龈可能会出现红肿的现象,看起来比正常的牙龈颜色更红,而且用手触摸时会有疼痛感。在刷牙或者吃硬东西的时候,牙龈还容易出血。这是因为牙齿腐烂产生的炎症会蔓延到牙龈,导致牙龈组织受到刺激,变得脆弱易出血。如果发现牙龈有这些异常情况,要及时关注烤瓷牙套里牙齿的状况。

症状四:牙套松动
正常情况下,烤瓷牙套应该是紧紧贴合在牙齿上的。但如果牙套里的牙烂了,牙齿的结构会受到破坏,牙齿的支撑力也会下降,这就可能导致烤瓷牙套出现松动的情况。有时候,在吃东西的时候会感觉到牙套有轻微的晃动,甚至用舌头都能感觉到牙套和牙齿之间的间隙。如果发现烤瓷牙套松动,一定要尽快去医院检查,看看是不是牙齿烂掉了。
烤瓷牙套里的牙烂了怎么办?
如果发现烤瓷牙套里的牙烂了,也不用过于担心,及时处理是关键。首先,要及时前往正规医院的口腔科。医生会先将烤瓷牙去除,然后根据牙齿烂的程度选择合适的处理方案。如果牙齿烂得不是特别重度,可能只需要进行充填修复,也就是把烂掉的部分清理干净,然后用补牙材料填充起来。如果牙齿烂得比较深,已经影响到牙髓了,就可能需要进行根管治疗。根管治疗是一种比较复杂的治疗方法,需要多次就诊,但能有效治疗牙齿的炎症。如果牙齿烂得实在太重度,无法保留,就只能拔牙了。处理完牙齿问题后,再将烤瓷牙戴上或者采取其他牙齿修复方法。
日常维护特别重要
为了避免烤瓷牙套里的牙烂掉,日常的维护非常重要。做完烤瓷牙后,要注意保持口腔卫生,每天早晚认真刷牙,使用牙线清洁牙缝。同时,要遵医嘱定期复查,医生可以及时发现牙齿的问题并采取相应的处理措施。如果在日常生活中发现牙齿有任何异常,比如疼痛、异味、牙龈出血等,要及时就医,不要拖延。
总之,了解“烤瓷牙套里的牙会烂吗有啥症状”非常有必要,这能帮助我们及时发现牙齿问题。当出现牙齿疼痛、口腔异味、牙龈红肿出血、牙套松动等症状时,要警惕烤瓷牙套里的牙可能烂掉了。一旦发现问题,要及时去正规医院处理。同时,做好日常的口腔维护,定期复查,这样才能让我们的牙齿保持健康。

发表评论 取消回复