当我们考虑牙齿修复,烤瓷牙是常见的选择,可“烤瓷牙大概多少钱一颗”这个问题却让特别多人犯难。毕竟价格涉及个人预算,也是决策的重要因素。今天就为大家深度揭秘2026年烤瓷牙的全新价格,让你在选择烤瓷牙时心里有数,不再为价格问题而纠结。无论你是牙齿缺损、缺失,还是想改善牙齿外观,这篇文章都能为你提供有价值的参考。

不同类型烤瓷牙价格大揭秘
烤瓷牙有多种类型,每种类型的价格存在较大差异。首先是一般的烤瓷牙,单颗价格在900元左右。不过这里要注意哦,这个价格可没包含临时牙冠和取模的费用。如果你对牙齿美观和耐用性没有特别高要求,这种一般的烤瓷牙是比较经济实惠的选择。
接着是较好的金合金烤瓷牙,单颗价格在3000元左右。金合金烤瓷牙在性能和美观度上要优于一般烤瓷牙,它的生物相容性好,对牙龈的刺激性小,更适合对口腔健康要求较高的人群。
还有全瓷牙,单颗价格在3000 - 5000元左右。全瓷牙的美观度是所有烤瓷牙中更高的,它几乎可以达到和真牙一样的色泽和透明度,而且不会影响核磁共振等检查。如果你比较在意牙齿的外观,或者需要进行口腔检查,全瓷牙会是不错的选择。

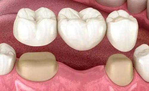
牙齿缺失修复的价格算法
在牙齿缺失的情况下,烤瓷牙的价格算法会有所不同。一般来说,缺失一颗牙齿,需要修复三颗牙齿。这是因为烤瓷牙修复缺失牙通常采用搭桥的方式,需要把缺失牙两边的健康牙齿磨小,作为基牙来支撑中间的假牙。
举个例子,如果选择一般的烤瓷牙进行修复,原本一颗牙900元,现在缺失一颗牙要修复三颗,那费用就是900×3 = 2700元,再加上临时牙冠和取模的费用,整体花费会更多。如果是选择金合金烤瓷牙或者全瓷牙,费用也会相应增加。所以,当你面临牙齿缺失问题时,在考虑烤瓷牙大概多少钱一颗的同时,也要考虑整体的修复费用。

价格影响因素深度剖析
除了烤瓷牙的类型和牙齿缺失修复情况外,还有其他因素会影响烤瓷牙的价格。医院和医生的选择就是一个重要因素。一般来说,大型正规医院的设备更精良,医生的技术也更有保护,但价格相对会高一些。而一些小型诊所价格可能会低一点,但在质量和安心上可能存在一定风险。
地区差异也会对价格产生影响。在一线城市,由于物价水平和消费水平较高,烤瓷牙的价格普遍会比二三线城市高。此外,材料的品牌和产地也会影响价格。进口材料的烤瓷牙通常会比国产材料的价格贵一些。

如何根据预算选烤瓷牙
如果你预算有限,一般的烤瓷牙是可以考虑的。虽然它在某些方面不如金合金烤瓷牙和全瓷牙,但对于一些对牙齿美观和性能要求不是特别高的人来说,已经能够满足基本的使用需求。而且在一些小型诊所,还可能会有一定的价格优惠。
要是预算比较充足,又追求高品质的牙齿修复成效,金合金烤瓷牙或者全瓷牙会更适合你。金合金烤瓷牙的生物相容性好,全瓷牙的美观度高,它们能为你带来更好的口腔体验。
选烤瓷牙的实用小贴士
在选择烤瓷牙时,不要只看价格,还要综合考虑质量和医生的建议。毕竟牙齿是要陪伴我们特别久的,质量不好的烤瓷牙可能会引发各种口腔问题。在选择医院和医生时,要查看他们的资质和口碑。可以通过网络查询或者向身边做过烤瓷牙的朋友询问。
在安装烤瓷牙后,要注意口腔卫生,避免吃实力强的食物,定期到医院进行复查,这样才能让烤瓷牙使用得更长久。
综上所述,“烤瓷牙大概多少钱一颗”并没有一个固定的答案,它受到多种因素的影响。在2026年,不同类型的烤瓷牙价格各有不同,牙齿缺失修复的费用也有其算法。大家在选择烤瓷牙时,要根据自己的实际情况和预算来综合考虑。希望大家都能选到适合自己的烤瓷牙,拥有健康美丽的牙齿。如果你还有其他关于烤瓷牙的问题,欢迎随时询问专精的口腔医生。

发表评论 取消回复