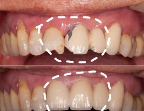
特别多镶了烤瓷牙的朋友可能会遇到烤瓷牙掉落的情况,这时候就会关心烤瓷牙重新粘一下多少钱。其实,这背后不仅涉及到费用问题,还和后续的注意事项息息相关。在这篇文章里,我们将为大家详细揭秘烤瓷牙重新粘接的真实费用,以及重新粘接后需要注意的事项,让大家在面对烤瓷牙掉落问题时心里有底。

烤瓷牙重新粘一下的价格范围
当烤瓷牙掉落后,大家更关心的就是重新粘一下的费用。一般来说,烤瓷牙掉落重新粘接的费用在50至150元左右。这个价格范围是综合了市场上大部分情况得出的。不过,这只是一个大致的参考,实际价格可能会因为各种因素而有所不同。

价格影响因素之城市消费水平
城市消费水平对烤瓷牙重新粘一下的价格影响比较大。在普通城市,物价相对较低,医疗成本也不高,所以在这些地方进行烤瓷牙重新粘接,费用通常会处于价格范围的较低水平。例如一些三线城市或者县城,可能只需要50到80元就能完成重新粘接。
而在一线城市,尤其是像北京、上海、广州这样的大城市,生活成本高,医院的运营成本也高,所以费用会相对较高。在一线城市的三等甲医院,烤瓷牙重新粘一下的费用可能会接近或者达到150元。这是因为这些医院的设备更精良,医生的技术水平也相对较高,所以收费会高一些。

价格影响因素之个人情况
除了城市消费水平,个人情况也是影响烤瓷牙重新粘一下价格的重要因素。每个人的口腔状况都不一样,如果在重新粘接烤瓷牙时,发现牙齿本身存在其他问题,比如基牙有龋坏、牙龈有炎症等,就需要先对这些问题进行处理,然后再进行粘接,这样费用就会相应增加。
另外,如果烤瓷牙损坏比较重度,在重新粘接前需要对烤瓷牙进行一定的修复或者调整,这也会使费用有所上升。所以,具体的费用还需根据当地市场价格和每个人的具体情况而定。
术后注意事项
做完烤瓷牙重新粘接后,术后的护理也非常重要。首先要注意口腔卫生,这是避免口腔问题的关键。要养成早晚刷牙、饭后漱口的好习惯,使用软毛牙刷,按照正确的刷牙方法进行刷牙,确保牙齿的每个面都能得到清洁。
在饮食方面,刚重新粘接完烤瓷牙后,不要立即吃太硬、太黏的食物。太硬的食物可能会再次导致烤瓷牙脱落,太黏的食物可能会粘掉烤瓷牙。可以先吃一些软烂、易消化的食物,等烤瓷牙完全稳固后再修复正常饮食。
此外,还要定期到医院进行复查。医生可以通过检查了解烤瓷牙的粘接情况以及口腔的整体健康状况,及时发现问题并进行处理。

如何选择合适的医疗机构
当烤瓷牙掉落需要重新粘接时,选择合适的医疗机构也特别重要。一些小诊所可能价格比较便宜,但是设备和技术可能相对落后,医生的经验也有限。如果在小诊所重新粘接烤瓷牙,可能会因为操作不当导致粘接不牢固,或者引发其他口腔问题。
而大型的口腔医院或者正规的三等甲医院,虽然价格可能会高一些,但是设备精良,医生的技术和经验都比较丰富,能够确保烤瓷牙重新粘接的成效和质量。所以,在选择医疗机构时,不要只看价格,还要综合考虑医院的口碑、医生的技术水平等因素。
综上所述,烤瓷牙重新粘一下多少钱并没有一个固定的答案,它受到城市消费水平、个人情况等多种因素的影响。一般价格在50至150元左右,但具体费用还需根据实际情况确定。在重新粘接烤瓷牙后,一定要注意口腔卫生和饮食,定期复查。当遇到烤瓷牙掉落的情况时,大家可以根据自己的实际情况选择合适的医疗机构进行重新粘接。希望大家都能拥有健康、稳固的烤瓷牙。

发表评论 取消回复