对于想要修复牙齿的朋友来说,烤瓷牙和全瓷牙是常见的选择。而大家更关心的莫过于它们的价格了。今天我们就带来一份详细的烤瓷牙和全瓷牙价格一览表,为大家揭秘2026年这两种牙齿修复方式的全新费用情况。通过这份价格一览表,你能清晰了解到烤瓷牙和全瓷牙在费用上的差异,从而结合自身情况做出更合适的选择。
烤瓷牙和全瓷牙的基本介绍
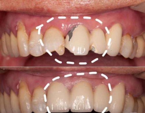
烤瓷牙和全瓷牙都是用于牙齿修复的方式。烤瓷牙是一种传统的牙齿修复体,它内部是金属基底,外面覆盖一层瓷粉,经过高温烧结熔附而成。而全瓷牙则全部由瓷材料制作而成。它们在外观上都能起到较好的牙齿修复成效,但在材质和性能上存在一些不同。

烤瓷牙和全瓷牙价格一览表详情
从价格方面来看,烤瓷牙和全瓷牙有明显的差异。全瓷牙价格相对较高,大约在2000 - 8000元/颗。而烤瓷牙价格相对便宜一些,其价格范围从500 - 6000元/颗不等。这种价格差异主要是由于它们的材质和制作工艺不同导致的。全瓷牙采用的瓷材料成本较高,且制作工艺更为精细,所以价格会偏高;而烤瓷牙因为有金属基底,成本相对较低,价格也就更为亲民。

影响价格的因素
除了材质和制作工艺,还有特别多因素会影响烤瓷牙和全瓷牙的价格。首先是材料品牌,不同品牌的烤瓷牙和全瓷牙在质量和性能上有差异,价格也会有所不同。一些有名品牌的产品价格通常会高一些。其次是地区差异,在经济发达的地区,由于物价水平较高,牙齿修复的费用也会相对较高;而在一些经济相对落后的地区,价格则会低一些。另外,医院的等级和医生的技术水平也会对价格产生影响。大型正规医院的设备更精良,医生经验更丰富,收费可能会比小诊所高一些。

烤瓷牙和全瓷牙的优缺点对比
烤瓷牙的优点是价格相对较低,适合一些对价格比较敏感的患者。而且它的强度较高,能够承受一定的咀嚼压力。但烤瓷牙也有缺点,它的金属基底可能会导致牙龈变色,影响美观。另外,金属还可能会对核磁共振等检查产生干扰。全瓷牙的优点则是美观度高,与真牙非常接近,而且不会出现牙龈变色的问题,也不会对核磁共振检查产生影响。不过全瓷牙的强度相对烤瓷牙会低一些,而且价格较高。

如何选择适合自己的牙齿修复方式
在选择烤瓷牙还是全瓷牙时,患者需要综合考虑多个因素。如果你的经济条件允许,且对牙齿的美观度要求较高,那么全瓷牙可能是更好的选择。但如果你预算有限,对美观度的要求不是特别高,烤瓷牙也是一个可行的方案。不过,更终的选择还应该听取专精医生的建议。患者应前往正规医院口腔科,让医生根据自己的年龄、口腔条件以及经济情况等进行全方面评估,从而选择出更适合自己的修复方式。
通过这份烤瓷牙和全瓷牙价格一览表,我们详细了解了2026年这两种牙齿修复方式的全新费用情况以及它们各自的优缺点。在选择牙齿修复方式时,大家要结合自身的经济状况、口腔条件等多方面因素,同时一定要在正规医院医生的指导下进行决策。希望大家都能拥有健康、美观的牙齿。

发表评论 取消回复