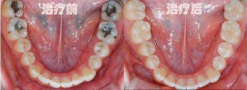
特别多戴了烤瓷牙套的朋友都会担心:烤瓷牙套里的牙会烂吗?而且口臭问题也可能随之而来,让人苦恼不已。其实,烤瓷牙套里的牙是有可能烂的,这背后有着多种影响因素。同时,口臭也许和烤瓷牙套里牙齿的状况相关。本文将深入揭秘这些问题的真相,并且分享实用的预防技巧,让你能更好地保护口腔健康,摆脱口臭困扰。

烤瓷牙套里的牙,究竟会不会烂?
答案是,烤瓷牙套里面的牙是有可能烂的。有不少戴烤瓷牙套的人对此可能都心存疑虑。其实呀,牙齿出现问题,和多方面因素有关。就像有时候我们以为戴上牙套就万事大吉了,但实际情况并非如此简单。

影响烤瓷牙套里牙齿健康的因素
牙套的密合性特别关键
如果烤瓷牙的牙冠和所套的牙齿没有密切贴合,这就给细菌留下了可乘之机。当我们口腔清洁做得不到位时,细菌就会从烤瓷牙和牙齿附着的颈部边缘的缝隙中进入。慢慢地,真牙就可能发生龋坏。举个例子,就好像房子的门窗没关紧,外面的灰尘就容易跑进来一样。所以说,牙套的密合性对牙齿健康真的非常重要。
戴牙套前的牙齿清洁不可忽视
在制作牙套之前,如果真牙没有得到有效的处理,牙体里有细菌残留,那么即使戴上了烤瓷牙套,牙齿也可能会腐烂。这就好比我们在装修房子的时候,没有把地基清理干净,后面房子就容易出问题。所以在戴烤瓷牙套之前,一定要确保牙齿得到了完全清洁。
牙龈萎缩带来的影响
随着年龄的增长,牙龈会逐渐萎缩,牙颈和牙根就会暴露出来。要是这个时候口腔清洁比较差,食物大量嵌塞在牙齿里,就会出现牙颈、牙根腐烂的情况。就像树木的根部裸露在外,又不加以保护,特别容易就会受到伤害。因此,我们要更加关注牙龈健康,做好口腔清洁。

口臭与烤瓷牙套里牙齿状况的关联
虽然给定资料中没有直接提及口臭的内容,但我们可以推测,当烤瓷牙套里的牙出现腐烂情况时,特别可能会引起口臭。牙齿腐烂会滋生大量细菌,这些细菌会分解食物残渣,产生难闻的气味。想象一下,口腔里有一颗正在腐烂的牙齿,那口气能好闻吗?所以,如果发现自己有口臭问题,并且戴了烤瓷牙套,不妨检查一下牙套里的牙齿是否健康。

预防烤瓷牙套里牙齿腐烂和口臭的技巧
做好日常口腔清洁
这是预防牙齿问题的基础。每天至少刷牙两次,每次刷牙时间不少于三分钟。使用牙线和漱口水也是不错的选择,它们可以帮助清洁牙齿缝隙和口腔中的细菌。就像我们每天都要洗脸一样,口腔清洁也不能偷懒哦。
定期复查口腔情况
做了烤瓷牙的患者,一定要定期去看牙医。牙医可以通过专精的检查,及时发现烤瓷牙套里牙齿的问题,并采取相应的措施。一般建议每半年到一年复查一次口腔。这样就像给牙齿做定期体检,有什么问题都能早发现、早治疗。
注意饮食健康
少吃甜食和酸性食物,这些食物容易腐蚀牙齿。多吃富含维生素和矿物质的食物,如水果、蔬菜等,有助于增强牙齿的抵抗力。合理的饮食就像是给牙齿提供了充足的养分,让它们更加健康。

总结与提醒
回到更初的问题,烤瓷牙套里的牙是有可能烂的,而且这还可能和口臭问题相关。为了保护口腔健康,避免口臭困扰,我们要关注牙套的密合性、做好戴牙套前的牙齿清洁,也要留意牙龈萎缩的情况。在日常生活中,做好口腔清洁、定期复查口腔、注意饮食健康,这些都是非常重要的预防技巧。如果你戴了烤瓷牙套,不妨按照这些方法来保护牙齿,让自己拥有清新的口气和健康的口腔。要是发现牙齿有异常情况,一定要及时去看牙医哦。

发表评论 取消回复