不少戴了烤瓷牙套的朋友心里都有这样的担忧:烤瓷牙套里的牙会烂吗?怎么知道密封好不好?其实,这两个问题对于口腔健康至关重要。如果烤瓷牙套密封不好,里面的牙齿就可能出现问题。接下来,我们就详细探讨一下这两个问题,让你对烤瓷牙套有更深入的了解,也能更好地保护自己的牙齿。

烤瓷牙套里的牙为何会烂
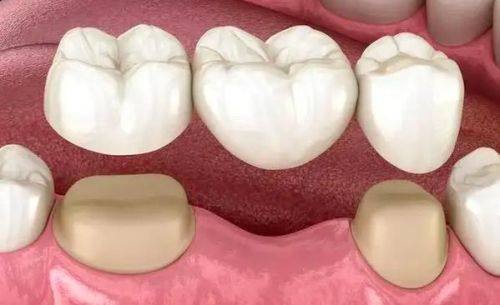
如果烤瓷牙做得不好,牙套里的牙确实是会烂的。烤瓷牙其实就是把牙套套在自己原本的牙齿上,要是烤瓷牙在制作过程中出了问题,里面的牙齿就可能再次出现龋坏。
牙套里的牙体组织出现问题,主要有两方面的可能性。一方面是烤瓷牙套和牙齿组织的密合度。要是烤瓷牙边缘和牙齿的密合性非常好,就像给牙齿穿上了一层严实的“盔甲”,里面的牙就不容易烂;但要是密合性不好,就好比“盔甲”有了缝隙,菌斑等脏东西就会趁机进入,里面的牙齿就容易出现烂的情况。另一方面是患者的长期维护。我们都知道,天然牙如果不注意维护,特别容易出现龋齿、牙周炎等问题,烤瓷牙也是一样。在烤瓷牙颈部,也就是烤瓷牙边缘和自己牙齿的衔接位置,要是菌斑控制不好,天然牙露出来的部分就可能出现龋坏、牙龈炎、牙周炎等情况,时间长了,牙齿就可能烂掉。所以,烤瓷牙本身不会烂,但它包绕的自己的牙齿是有可能烂的,这就需要我们平时认真维护,还要定期去复查。

判断密封好不好的自我观察法
自己在家也可以通过一些简单的方法初步判断烤瓷牙套的密封情况。首先是观察牙齿外观。如果烤瓷牙套周围的牙龈出现红肿、出血的情况,或者能看到牙套和牙齿之间有黑色的缝隙,那就可能是密封不好。因为密封不佳会导致细菌滋生,刺激牙龈,引起炎症,同时也会让食物残渣等更容易堆积在缝隙里,形成黑色的污垢。
其次是感受牙齿的感觉。如果在吃东西的时候,感觉烤瓷牙套里的牙齿有酸痛、敏感的情况,或者能感觉到有食物进入到了牙套和牙齿之间,这也可能意味着密封存在问题。正常情况下,密封良好的烤瓷牙套不会让你有这些异常的感觉。

借助工具判断密封情况
牙线是一个良好的辅助工具。在饭后,可以用牙线轻轻穿过烤瓷牙套和牙齿之间的缝隙。如果牙线特别容易通过,而且上面有食物残渣或者血迹,那就说明可能密封不好。因为密封好的情况下,牙线通过时会有一定的阻力,而且不会带出太多脏东西。
镜子也能发挥大作用。用镜子仔细观察烤瓷牙套的边缘,看看是否光滑、连续,有没有翘起或者不平整的地方。如果发现有这些情况,特别可能密封就存在问题。

专精检查判断密封
虽然我们自己可以做一些初步的判断,但更正确的还是要依靠专精的口腔检查。医生会使用专精的器械,如探针等,来检查烤瓷牙套和牙齿之间的密合度。探针可以探测到一些我们肉眼看不到的微小缝隙。
拍X光片也是常用的方法。通过X光片,医生可以清晰地看到烤瓷牙套里牙齿的情况,包括是否有龋坏、牙根是否健康等。如果发现牙齿周围有阴影或者其他异常情况,就说明可能存在密封问题或者牙齿已经出现了病变。

如何维护烤瓷牙套的密封性
要想保持烤瓷牙套的密封性,正确的刷牙方法特别重要。我们要选择软毛牙刷,使用巴氏刷牙法,每天至少刷牙两次,每次刷牙时间不少于三分钟。特别是要注意清洁烤瓷牙套和牙齿的衔接处,把这里的菌斑和食物残渣都清理干净。
使用牙线和牙缝刷也能帮助我们更好地清洁。牙线可以清理牙齿之间的缝隙,牙缝刷则可以深入清洁一些较大的牙缝和烤瓷牙套周围的区域。另外,定期去口腔医院洗牙也是必不可少的。洗牙可以去除牙齿表面和烤瓷牙套上的牙结石和菌斑,维护口腔健康。一般建议每年洗牙1 - 2次。
关于“烤瓷牙套里的牙会烂吗?怎么知道密封好不好”这个问题,我们已经有了比较全方面的了解。烤瓷牙套里的牙有可能会烂,主要和密合度以及日常维护有关。我们可以通过自我观察、借助工具以及专精检查等方法来判断密封情况。在日常生活中,要做好烤瓷牙套的维护工作,这样才能让我们的牙齿更加健康。如果你对自己的烤瓷牙套密封情况有疑虑,或者发现牙齿有任何异常,一定要及时去口腔医院检查,让专精医生为你解决问题。

发表评论 取消回复