在牙齿修复的领域中,烤瓷牙是特别多人的选择。但面对烤瓷牙种类大全,你是否感到迷茫,不知道哪种更适合自己呢?别担心,本文将为你详细介绍烤瓷牙的各类信息,包括不同种类的特点、适用情况以及选择建议等,帮助你在众多烤瓷牙种类中找到更适合自己的那颗“牙”。
烤瓷牙种类大揭秘
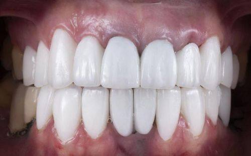
烤瓷牙的种类繁多,但总体来说,主要分为金属烤瓷牙、全瓷牙和贵金属烤瓷牙这三种类型。它们就像是三位性格各异的“朋友”,能满足不同牙齿修复需求的“小目标”。

金属烤瓷牙:性价比之选
金属烤瓷牙就像是一位可靠的“实力派”。它的结构是内层有一个金属基底冠,外面再覆盖一层瓷层。其常用的金属材质是镍铬合金或者钴铬合金。较大的优点就是价格相对较低,适合预算不是特别充足的朋友。而且它非常适合后牙区的修复,能够承受较大的咬合力,就像给后牙穿上了一层坚固的“铠甲”。
不过呢,它也有一些小缺点。比如可能会出现牙龈边缘黑线的问题,让牙齿看起来没那么美观;金属的导热性比较好,可能会导致牙齿出现冷热敏感的情况;要是长期使用的话,还可能会有金属离子析出。

全瓷牙:美学担当
全瓷牙就像是舞台上的“明星”,主打美观成效。它不含金属成分,是由二氧化锆或玻璃陶瓷制成的。它较大的亮点就是具有良好的生物相容性和透光性,颜色和天然牙齿非常接近,而且不会出现牙龈染色的情况,所以特别适合前牙的美学修复,能让你笑起来更加自信。
但全瓷牙也有一些小“脾气”。它对牙体预备量要求比较高,而且强度比金属烤瓷牙略低一些,不太适合咬合力过大的磨牙区。

贵金属烤瓷牙:品质之选
贵金属烤瓷牙就像是一位“贵族”,采用金铂合金等贵金属作为基底。它的金属稳定性特别高,不容易氧化腐蚀;贵金属的延展性良好,能和瓷层紧密结合,边缘密合度比普通金属烤瓷牙要好;而且生物相容性也比较好,特别适合对普通金属过敏的朋友。
然而,它的价格比较高,就像“贵族”的消费一样。并且金属底色可能会影响前牙的美观成效,这也是它小小的不足之处。

如何选择适合自己的烤瓷牙
选择烤瓷牙可不是一件随便的事情,就像挑选衣服要考虑场合、风格和预算一样,选择烤瓷牙需要综合考虑修复位置、咬合功能、美观需求以及经济条件等因素。
如果你注重性价比,后牙需要修复,那么金属烤瓷牙会是一个不错的选择。要是你更在意美观成效,尤其是前牙需要修复,全瓷牙可能更符合你的心意。而如果你对普通金属过敏,并且经济条件允许,那么贵金属烤瓷牙就是为你量身定制的。
建议大家在就诊时,详细地向牙医说明自己的需求,医生会通过专精的口腔检查,为你确定更适合的修复方案。

烤瓷牙的日常维护小贴士
选好了烤瓷牙,日常的维护也特别重要哦。这就像买了一辆好车,也需要定期保养一样。日常要注意口腔卫生,养成早晚刷牙、饭后漱口的好习惯。要避免用修复牙咬硬物,比如坚果、螃蟹壳等,不然可能会对烤瓷牙造成损伤。还要定期进行口腔检查,这样可以及时发现问题并处理,延长烤瓷牙的使用寿命。
通过对烤瓷牙种类大全的全方面解析,相信你对各种烤瓷牙都有了更深入的了解。在选择烤瓷牙时,一定要结合自己的实际情况,综合考虑多方面因素。如果你还有其他疑问,不妨询问专精的牙医,他们会给你更正确的建议。希望你能找到更适合自己的烤瓷牙,拥有一口健康美丽的牙齿!

发表评论 取消回复