你是否好奇烤瓷牙长啥样?它的真实成效和我们想象中可能存在差别。烤瓷牙在口腔修复领域特别常见,了解它的样子不仅能满足我们的好奇心,还能帮助我们在需要时做出更合适的选择。本文将详细揭秘烤瓷牙的外观特点、与真牙的对比等内容,让你对烤瓷牙长啥样有更清晰的认识。

烤瓷牙的基本外观特点
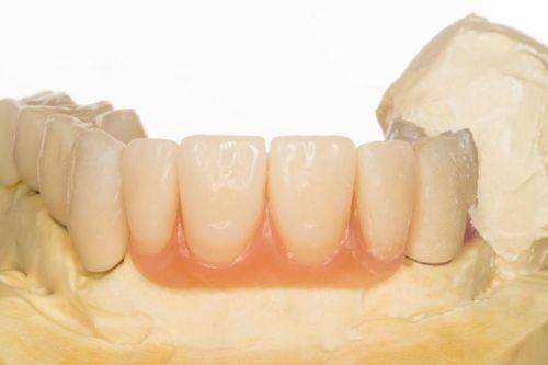
要了解烤瓷牙长啥样,先得知道它的基本外观特点。烤瓷牙结合了金属和陶瓷的优点,既有着金属的高强度,能确保在日常咀嚼等活动中不易损坏,又具备瓷的美观性和牙齿的逼真性。它的表面十分光滑,就像经过精心打磨的艺术品。而且色泽稳定,不会轻易变色,与真牙相似度极高。从远处看,几乎特别难分辨出哪颗是烤瓷牙,哪颗是真牙。这种高度的仿真成效,让特别多人在选择牙齿修复方式时,会优先考虑烤瓷牙。

不同类型烤瓷牙的外观差异
烤瓷牙有不同的类型,它们在外观上也存在一些差异。常见的有金属烤瓷牙和全瓷烤瓷牙。金属烤瓷牙内部有金属基底,外面覆盖瓷层。由于金属的存在,在某些角度可能会透出金属的颜色,尤其是在强光下,可能会被人察觉到与真牙的细微差别。不过,现在的工艺不断进步,这种差别已经越来越小。而全瓷烤瓷牙则完全由瓷材料制成,没有金属成分。它的透明度和色泽更加接近真牙,外观上更加自然美观,在各种光线条件下都特别难被看出是假牙。所以,如果对美观度要求较高,全瓷烤瓷牙可能是更好的选择。

烤瓷牙与真牙的外观对比
特别多人关心烤瓷牙长啥样,其实就是想知道它和真牙在外观上有多大区别。从整体颜色来看,烤瓷牙可以根据患者自身真牙的颜色进行定制,做到和真牙颜色基本一致。但在细节上,真牙的表面会有一些微小的纹理和凹凸,这是自然生长的痕迹。而烤瓷牙虽然表面光滑,但纹理可能没有真牙那么丰富和自然。不过,随着技术的发展,现在一些高端的烤瓷牙也能模拟出真牙的纹理,使两者的外观更加接近。另外,真牙的颜色可能会随着年龄、饮食习惯等因素发生一些变化,而烤瓷牙的色泽相对稳定,不会有太大的改变。

影响烤瓷牙外观的因素
烤瓷牙的外观也会受到一些因素的影响。首先是医生的技术水平。经验多的医生在制作烤瓷牙时,能够更好地把握牙齿的形态、颜色和比例,制作出的烤瓷牙更加美观自然。如果医生技术不过关,可能会导致烤瓷牙的颜色不协调、形态不自然等问题。其次是材料的质量。优质的瓷材料能够呈现出更好的色泽和透明度,使烤瓷牙的外观更加逼真。而质量较差的材料,可能会出现颜色发暗、表面不光滑等情况。此外,患者自身的口腔条件也会对烤瓷牙的外观产生影响。比如,如果患者的牙龈状况不好,可能会导致烤瓷牙边缘不贴合,影响整体美观。
如何判断烤瓷牙外观是否合适
当我们安装了烤瓷牙后,如何判断它的外观是否合适呢?首先可以从颜色上判断。烤瓷牙的颜色应该与周围真牙的颜色相协调,不能有明显的色差。可以在自然光下观察,看看是否自然。其次是形态。烤瓷牙的形态应该与相邻牙齿和整个牙列相匹配,不能过大或过小,也不能有明显的棱角或不平整。另外,还要注意烤瓷牙与牙龈的贴合度。如果烤瓷牙边缘与牙龈贴合紧密,没有缝隙,说明安装得比较合适,外观也会更加自然。如果发现烤瓷牙在外观上存在问题,比如颜色过深或过浅、形态不自然等,应及时与医生沟通,进行调整或重新制作。
现在你对烤瓷牙长啥样有了更清晰的认识了吧。它的真实成效可能和你想象的既有相似之处,也存在一些差别。在选择烤瓷牙时,要综合考虑不同类型的外观特点、与真牙的对比、影响外观的因素等。如果你更注重美观度,全瓷烤瓷牙可能更适合你;如果对价格比较敏感,金属烤瓷牙也是一个不错的选择。同时,一定要选择正规的口腔机构和经验多的医生,这样才能确保制作出的烤瓷牙外观自然美观,符合你的期望。希望本文能帮助你在烤瓷牙的选择上做出更明智的决策。

发表评论 取消回复