在牙齿修复的领域里,烤瓷牙是特别多人的选择。然而,烤瓷牙种类区别可不小,不同的种类在价格、性能等方面都有差异。了解这些区别,能帮助我们挑选出更适合自己的牙齿修复方案。本文就将为你详细揭秘烤瓷牙种类区别,让你在面对众多选择时不再迷茫。

烤瓷牙的常见种类
常见的烤瓷牙根据金属内冠的材质不同,有多种类型。其中包括镍铬合金烤瓷牙、钴铬合金烤瓷牙、钛合金烤瓷牙、金合金烤瓷牙等。另外,还有一种特殊的,没有金属内冠的全瓷牙。这些不同种类的烤瓷牙,因为材质不同,在各方面表现也有所不同,这就是烤瓷牙种类区别的基础。

贵金属烤瓷牙的特点
贵金属烤瓷牙在价格方面相对昂贵。不过它的性能表现出色,崩瓷率发生低。想象一下,如果烤瓷牙崩瓷了,不仅影响美观,还可能需要再次修复,多麻烦呀。而且贵金属烤瓷牙不会出现牙龈黑线的问题,牙龈黑线会让我们的牙齿看起来不那么健康美观,所以这一点特别重要。对于追求高品质、对美观要求较高,且经济条件允许的人来说,贵金属烤瓷牙是个不错的选择。

贱金属内冠烤瓷牙的情况
贱金属内冠烤瓷牙的优势在于价格相对便宜,这对于一些预算有限的人来说有较大的吸引力。但是它也有明显的缺点。它容易出现牙龈黑线,长期在口腔里还容易释放对人体有害的金属离子。而且崩瓷率发生较高,这就意味着使用过程中可能会出现一些问题,需要我们多留意。如果预算不多,又能接受这些潜在问题,那么贱金属内冠烤瓷牙可以考虑。

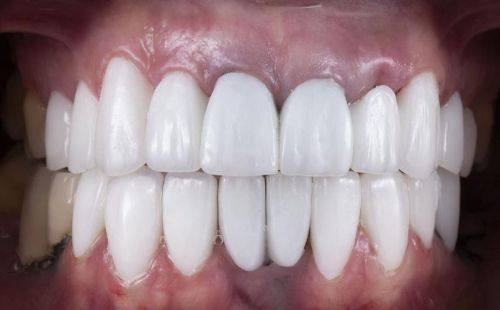
全瓷牙的独特之处
全瓷牙由于没有金属内冠,生物相容性非常好。也就是说,它和我们的口腔组织能更好地相处,不容易引起排斥等不良反应。它的崩瓷率也低,美观性佳,从外观上看,几乎可以以假乱真,和真牙特别相似。虽然资料中没有明确提到价格,但我们都知道质量与价格通常成正比,所以全瓷牙价格可能相对较高。对于对美观和质量要求都特别高,且预算较充足的人,全瓷牙是质量至佳的选择。

如何选择适合自己的烤瓷牙
了解了烤瓷牙种类区别,接下来就是要根据自己的情况做出选择。如果你经济条件较好,对牙齿的美观和性能要求都特别高,那么全瓷牙或者贵金属烤瓷牙会更适合你。要是预算有限,对美观的要求不是特别苛刻,能接受贱金属内冠烤瓷牙的一些小问题,那么可以考虑选择它。在选择之前,还可以多和医生沟通,让医生根据你的口腔具体情况给出专精的建议。毕竟每个人的口腔状况都不一样,合适的才是更好的。
总之,烤瓷牙种类区别影响着我们的选择。通过了解不同种类烤瓷牙在价格、性能等方面的差异,我们可以结合自身的经济情况和对牙齿修复的要求,挑选出更适合自己的牙齿修复方案。在做决定之前,记得多询问专精医生,综合各方面因素,做出明智的选择,让自己拥有健康又美观的牙齿。

发表评论 取消回复