你是不是正好奇“烤瓷牙多少钱一颗牙齿”呢?烤瓷牙的价格可不是固定的,它会受到制作材料、医疗机构以及牙位等因素的影响。不同类型的烤瓷牙,收费差异还挺大。在这篇文章里,我们就来详细揭秘不同材料、牙位的烤瓷牙收费情况,帮你了解行情,做出更合适的选择。
影响烤瓷牙价格的因素有哪些
要知道烤瓷牙多少钱一颗牙齿,得先清楚影响其价格的因素。首先是制作材料,不同的材料成本不同,价格自然也有差别。像普通金属和贵金属,成本就相差特别多。其次是医疗机构,大型的、口碑好的口腔医院,由于设备精良、医生技术好,收费可能会高一些;而一些小型诊所价格可能相对低一点。还有牙位也特别关键,前牙和后牙的功能不同,对烤瓷牙的要求也不一样,所以收费也会不同。

普通金属烤瓷牙的价格与特点
普通金属烤瓷牙的主要金属成分是钴铬合金或者镍铬合金。这种烤瓷牙价格相对比较亲民,一颗收费在1000元左右。它的优点是价格实惠,能满足一些对美观要求不是特别高,预算又有限的患者。不过,普通金属烤瓷牙也有缺点,比如金属可能会对牙龈产生刺激,时间长了可能会导致牙龈发黑等问题。所以,如果你的牙齿对美观要求不高,预算也不多,普通金属烤瓷牙是一个可以考虑的选择。
贵金属烤瓷牙的价格与差异
贵金属烤瓷牙选用的是金铂合金或者金钯合金,是在金钯合金外面上瓷制成的。整体收费在3000 - 4000元左右。因为牙位不同,收费也有差异。前牙使用的贵金属量比较少,所以价格相对便宜,大约3000元;而后牙使用的贵金属含量多,成本高,收费也就更高。贵金属烤瓷牙的优点是生物相容性好,对牙龈的刺激性小,色泽也比较接近天然牙齿。如果你的预算充足,又比较注重牙齿的健康和美观,那么贵金属烤瓷牙会是不错的选择。

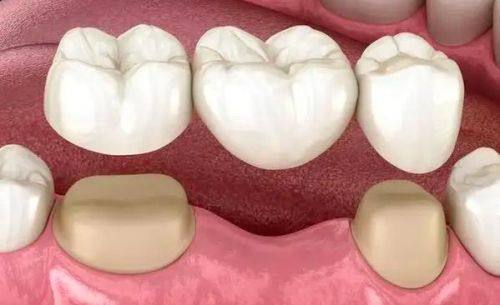
全瓷烤瓷牙的不同类型与价格
全瓷烤瓷牙根据材料不同,价格也有差异。二氧化铝全瓷牙常用于前牙,收费相对便宜,一颗大约在2000 - 3000元。它的优点是美观度高,通透性好,特别适合对牙齿美观要求高的患者。而二氧化锆全瓷牙强度好,耐咀嚼压力性能佳,一般用于后牙,收费较贵,一颗约为4500 - 8000元。它能承受较大的咀嚼力,使用寿命长。所以,如果你是前牙需要修复,二氧化铝全瓷牙是个好选择;如果是后牙,二氧化锆全瓷牙可能更合适。

如何根据自身情况选择合适的烤瓷牙
在考虑烤瓷牙多少钱一颗牙齿的同时,我们要综合自身情况来选择合适的烤瓷牙。如果你的预算有限,对美观要求不是特别高,普通金属烤瓷牙就可以满足基本需求。要是你注重牙齿的健康和美观,预算也允许,贵金属烤瓷牙或者全瓷烤瓷牙会更适合你。如果是前牙修复,更看重美观度,二氧化铝全瓷牙或者贵金属烤瓷牙的前牙款式是不错的;要是后牙,需要承受较大咀嚼力,二氧化锆全瓷牙或者贵金属烤瓷牙的后牙款式会更可靠。
总之,“烤瓷牙多少钱一颗牙齿”受到多种因素影响。不同材料、牙位的烤瓷牙收费有较大差异。在选择烤瓷牙时,大家要根据自己的经济状况、牙齿的具体需求等方面来综合考虑。同时,一定要选择正规的医疗机构,让专精的医生为你进行诊断和治疗,这样才能确保烤瓷牙的质量和成效。希望通过本文的揭秘,能帮助你做出更合适的决策,拥有健康美丽的牙齿。

发表评论 取消回复