嘿,朋友们!今天我想跟大家好好唠唠“活动义齿我带了十几年”这个事儿。在这十几年里,活动义齿给我的生活带来了不少改变,有好的也有不好的。相信特别多和我一样长期佩戴活动义齿的人都有类似的经历和疑惑,所以我把自己的真实体验分享出来,希望能给大家一些参考和启发,让大家对长期佩戴活动义齿有更全方面的认识。

活动义齿佩戴现状:越来越多人选择
现在呀,活动假牙佩戴者的人数一年比一年多。就拿我国来说,在 55 岁以上的人群里,有 26%的老年人都戴着活动假牙。我也是这庞大队伍中的一员,当初因为牙齿缺失,选择了活动义齿,想着它能帮我解决吃饭和美观的问题。刚开始戴上的时候,还挺新鲜的,感觉生活又回到了正轨。但是随着时间的推移,我渐渐发现了一些问题。

长期佩戴活动义齿的危害:健康隐患多
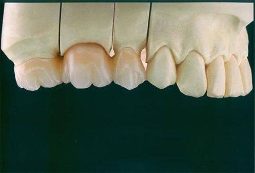
活动义齿虽然能在一定程度上修复牙齿的功能,但它也有不少“小脾气”。活动假牙的表面、凹槽或者金属钩环的地方,就像是细菌的“大本营”。如果不及时更换或者长期不清洗,那可就麻烦大了。我自己就深有体会,戴了十几年活动义齿后,我的口腔问题越来越多。先是经常患上牙周病,牙齿周围老是红肿、疼痛,吃东西都不敢用力。接着口腔溃疡也时不时地找上门来,嘴里长了一个又一个小水泡,疼得我连说话都不利索。后来还出现了口腔黏膜病变的情况,口腔里的黏膜变得又红又肿,特别难受。更可怕的是,长期的这些问题还会让口腔癌的发病几率直线上升。就像 72 岁的刘老先生,他佩戴活动假牙 15 年,全口义齿基本都被磨平了,颜色怪异,嘴都变瘪了。而且他还患有重度牙周病,舌头边缘长了两个不明肿物,满口只剩下 5 颗牙,口腔还不断溃疡。一检查,居然有口腔癌癌变的可能。这可把我吓坏了,也让我更加重视自己的口腔健康。

长期佩戴活动义齿的外观变化:容貌受影响
除了健康问题,活动义齿戴久了对外观也有影响。就像刘老先生一样,我的义齿用了十几年,也出现了磨损的情况。义齿的表面变得不平整,颜色也变得特别难看。而且因为长期佩戴,我的嘴型也发生了一些变化,感觉比同龄人更显老。每次照镜子的时候,看到自己瘪瘪的嘴巴,心里都挺不是滋味的。我开始怀念以前有一口好牙的日子,那时候笑起来都特别自信。

应对建议:及时保养和更换
既然长期佩戴活动义齿有这么多问题,那我们该怎么办呢?其实特别简单,就是要及时更换活动假牙,并且保持假牙的清洁。我现在每天都会认真清洗我的活动义齿,用专门的假牙清洁液泡一泡,把上面的细菌都消灭掉。而且我也打算找个时间去换一副新的义齿,让自己的口腔能舒服一些。另外,登特口腔举办了种牙项目推广活动,种植骨干医生卢伟建议患者做免费全景片检查。这可是个了解自己口腔状况的好机会,我打算去试试。说不定通过检查,我还能找到更适合自己的牙齿修复方案呢。

总之,“活动义齿我带了十几年”,这十几年里有方便也有烦恼。通过我的真实体验,希望大家能更加重视自己的口腔健康。如果你也和我一样长期佩戴活动义齿,一定要及时关注口腔状况,做好义齿的保养和更换。同时,也不要错过登特口腔的这些活动,说不定能找到更好的解决方案。让我们一起拥有健康、美丽的口腔吧!

发表评论 取消回复