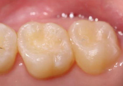
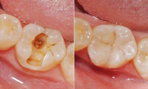
补牙是常见的口腔治疗手段,但特别多人都会担心“补牙后内部会继续烂吗”。这个问题关系到补牙的成效和牙齿的长期健康。其实,补牙后牙齿内部是有可能继续烂的,但也有办法预防。本文将为大家揭秘牙齿修复的真相,详细分析补牙后内部继续烂的原因,以及有效的预防措施,帮助大家更好地保护牙齿。

补牙后内部继续烂的原因
特别多人补完牙后,以为就万事大吉了,却没想到牙齿内部还可能继续烂。这到底是怎么回事呢?其实,主要有以下两个原因。
首先是牙齿未杀神经且龋洞深。当牙齿龋洞较深,又没有杀神经时,牙本质小管会有渗透和反应。补牙后,牙齿要承受长期的咀嚼压力,还要面对冷热食物的温度刺激。这些刺激会激惹牙髓神经,时间一长,就可能产生牙髓炎症状,牙齿内部会继续发炎。就好比一座房子,虽然表面修补好了,但里面的结构因为受到外界影响而出现问题。
其次是刷牙清洁不到位。牙齿和充填材料之间,如果刷牙没刷干净,就会产生继发性龋齿。就像在牙齿和材料的交界处,有一些“卫生死角”,细菌在这些地方滋生,慢慢就会出现小裂纹和缝隙。一旦出现这种情况,就需要再次治疗。这就好比给房子补了一块砖,但周围的缝隙没处理好,雨水还是会渗进去。

补牙后内部继续烂的表现
了解了补牙后内部继续烂的原因,那怎么知道牙齿内部是不是真的在继续烂呢?可以从以下几个方面来判断。
牙齿疼痛是比较明显的症状。如果补牙后一段时间,牙齿出现冷热刺激痛、自发痛或者夜间痛等情况,特别可能是牙齿内部继续烂,引发了牙髓炎。就像身体某个部位受伤后,会通过疼痛来提醒我们。
牙齿敏感也是一个信号。补过的牙齿对温度、酸甜等刺激变得更加敏感,说明牙齿内部的情况可能不太好。比如吃一口冰淇淋,牙齿就会有明显的不适感。
还有就是牙齿外观的变化。如果发现补过的牙齿周围出现变黑、缺损等情况,特别可能是继发性龋齿导致的。这就好比一件衣服,修补的地方周围开始破洞或者变色。
预防补牙后内部继续烂的方法
既然知道了补牙后内部可能继续烂的原因和表现,那该怎么预防呢?其实,做好以下两点特别重要。
一是避免刺激。补过的牙齿比较脆弱,要避免过冷、过热食物的刺激。就像刚修好的机器,需要一段时间的磨合期,不能一下子承受太大的压力。比如夏天少吃冰淇淋,冬天少喝太烫的水。
二是正确刷牙。学会正确的刷牙方法,是清洁口腔、防止继发龋发生的关键。可以采用巴氏刷牙法,将牙刷与牙长轴呈45度角指向根尖方向,按照牙龈 - 牙交界区,使刷毛一部分进入龈沟,一部分铺于龈缘上,尽可能伸入邻间隙内,用轻柔压力使刷毛在原位进行前后方向短距离的水平颤动,每次颤动4 - 5次,颤动时牙刷移动约1毫米,每次只刷2 - 3颗牙,再将牙刷移至下一组牙,末尾将口腔牙齿全部清洁干净。每天至少刷牙两次,每次刷牙时间不少于3分钟。

补牙后定期检查的重要性
除了做好日常的预防措施,补牙后定期检查也非常重要。
定期检查可以及时发现牙齿内部是否有继续烂的迹象。医生可以通过专精的检查手段,如口腔X光片等,查看牙齿内部的情况。就像给牙齿做一个全方面的体检,早发现问题,早治疗。
一般建议补牙后每隔3 - 6个月到口腔医院进行一次检查。在检查过程中,医生还可以根据牙齿的情况,给出一些针对性的建议,帮助我们更好地保护牙齿。

补牙材料对内部继续烂的影响
补牙材料的选择也会对牙齿内部是否继续烂产生影响。
不同的补牙材料有不同的特性。一些质量好、密封性强的补牙材料,可以更好地防止细菌进入牙齿内部,降低牙齿内部继续烂的风险。比如树脂材料,它的颜色和牙齿比较接近,美观度高,而且粘结性好,能够较好地封闭牙齿。
而一些质量较差的补牙材料,可能密封性不好,容易出现缝隙,让细菌有可乘之机。所以,在选择补牙材料时,要根据自己的情况,在医生的建议下选择合适的材料。
关于“补牙后内部会继续烂吗”这个问题,答案是有可能,但通过了解其原因,采取有效的预防措施,如避免刺激、正确刷牙、定期检查以及选择合适的补牙材料等,是可以降低牙齿内部继续烂的风险的。希望大家都能重视补牙后的护理,保护好自己的牙齿。如果对补牙后牙齿的情况有任何疑问,建议及时询问专精的口腔医生。

发表评论 取消回复