补牙齿的填充物一般坚持多久是特别多患者关心的问题。牙齿出现问题进行填充修复后,大家都希望填充物能使用得久一些。其实,填充物的维持时间会受到多种因素影响,不同材料的持久性也有差异。了解这些知识,不仅能让我们对补牙成效有更清晰的认知,还能通过掌握护理技巧延长填充物的使用寿命。接下来,就为大家详细揭秘。

填充物维持时间总体情况
补牙齿的填充物一般坚持的时间并不是固定的,它因材料和患者的口腔状况而异,一般可以维持数年至数十年不等。这就好比不同质量的衣服,穿的时间长短会有较大差别,而且这还和每个人的穿着习惯有关。在口腔里,填充物就像衣服,不同的材料质量不同,患者的口腔使用习惯和卫生状况也会影响它的“寿命”。

不同填充物材料的维持时间
不同的补牙材料,其维持时间也有所不同。
- 银汞合金填充物:这种填充物通常可以持续 5 - 10 年,甚至更长时间。不过,由于它对牙齿的磨损较大,现在已经较少使用了。就像一辆车,如果它的轮胎对路面磨损重度,可能就不会被广泛使用一样。银汞合金虽然曾经是补牙的常用材料,但随着技术的发展,它的缺点逐渐显现出来。
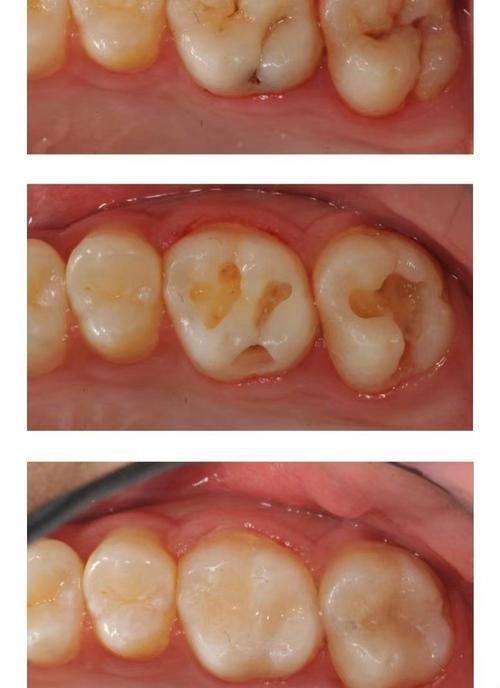
- 复合树脂和玻璃离子水门汀:这是目前常用的牙齿填充物,可以持续数年至数十年。复合树脂就像是一种“万能胶”,它能良好地贴合牙齿,而且颜色和牙齿比较接近,美观度较高。玻璃离子水门汀则具有一定的防龋作用,就像给牙齿加了一层保护罩。它们的持久性也不错,能满足大多数患者的需求。

影响填充物使用寿命的因素
补牙齿的填充物一般坚持多久,会受到以下几个因素的影响。
- 填充物的类型:不同类型的填充物,其物理和化学性质不同,这直接影响了它们的使用寿命。就像不同材质的鞋子,有的耐磨,有的不耐磨。
- 材料的质量:质量好的材料,通常能使用更长时间。这就好比买手机,质量好的手机,性能更稳定,使用时间也更久。在补牙时,选择质量可靠的材料特别重要。
- 医生的技术:医生的操作技术也会对填充物的使用寿命产生影响。如果医生的技术熟练,能正确地将填充物填充到合适的位置,那么填充物就更不容易脱落或损坏。就像一个技艺高超的工匠,能把物品制作得更加理想。
- 患者的口腔卫生状况:这是非常关键的一点。如果患者注意保持良好的口腔卫生,定期进行口腔检查和清洁,填充物的使用寿命可能会更长。就像我们保养汽车,如果经常给汽车做保养,它就能开得更久。患者每天认真刷牙、使用牙线,定期去洗牙,能减少口腔细菌对填充物和牙齿的侵蚀。

特殊情况处理
在使用填充物的过程中,可能会出现一些特殊情况。如果填充物周围出现了新的龋齿或磨损,需要及时进行处理,以避免进一步的牙齿损伤。这就好比房子的某个地方出现了小裂缝,如果不及时修补,裂缝可能会越来越大。当发现填充物周围有异常时,要尽快去看牙医,让医生根据具体情况进行处理。
护理技巧延长填充物寿命
想要延长补牙齿的填充物的使用寿命,掌握一些护理技巧特别重要。
- 保持口腔清洁:每天至少刷牙两次,使用软毛牙刷和含氟牙膏,按照正确的刷牙方法进行刷牙。饭后使用清水或漱口水漱口,能及时清除口腔内的食物残渣。
- 避免咬硬物:尽量不要用补过的牙齿咬实力强的东西,如坚果、骨头等。就像我们穿了一双新鞋,不会去故意用它踢石头一样。咬硬物可能会导致填充物松动或损坏。
- 定期口腔检查:定期去看牙医,进行口腔检查和清洁。医生能及时发现填充物的问题,并给予相应的建议和处理。一般建议每半年到一年进行一次口腔检查。
补牙齿的填充物一般坚持多久,受到多种因素的影响。不同材料的填充物,其维持时间不同,同时,填充物的类型、材料质量、医生技术和患者的口腔卫生状况也会对其产生作用。在使用填充物的过程中,要注意特殊情况的处理,掌握护理技巧延长其使用寿命。希望大家都能通过了解这些知识,让自己的补牙成效更好,牙齿更健康。如果你还有关于补牙的其他问题,不妨询问专精的牙医,他们会为你提供更详细的解答。

发表评论 取消回复