补牙是常见的口腔治疗方式,但补牙后一般能维持几年却让特别多人摸不着头脑。其实,补牙的维持时间受多种因素影响,具体情况因人而异。了解这些因素和相关保养技巧,不仅能让你对补牙成效有更清晰的认知,还能帮助延长补牙的使用寿命。接下来,我们就一起深入探究补牙维持时间的真相和实用的保养技巧。

补牙维持时间的总体情况
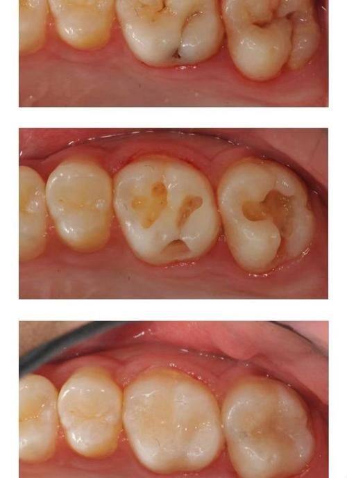
当牙齿发生龋坏需要补牙时,补牙后一般能维持的时间受诸多因素影响。大多数情况下,补牙成效能维持6 - 8年。这是因为补牙维持时间和补牙材料、牙齿缺损大小以及补牙时采用的修复方法都有关系。不同的补牙材料,其硬度、耐磨性、与牙齿的贴合度等特性各不相同。比如,树脂材料颜色与牙齿相近,美观度高,但相对来说耐磨性可能稍逊一筹;而银汞合金材料耐磨性好,但颜色不太美观。牙齿缺损大小也特别关键,如果牙齿缺损较小,补牙后承受的咀嚼压力相对分散,维持时间可能会更久;反之,如果缺损较大,剩余的牙体组织较少,补牙材料就更容易受到影响。补牙时的修复方法同样重要,专精且合适的修复方法能让补牙材料更好地与牙齿结合,提高补牙的稳定性和持久性。

理想情况下的补牙成效
在一些理想情况下,补牙后的成效能维持特别长时间,甚至可以保留终身。如果只是单纯的咬合面出现缺损,并且没有涉及到神经,那么这种情况相对简单。医生在补牙时能够更方便地处理龋坏组织,补牙材料也能更好地固定。另外,如果在补牙过程中完全去干净了龋坏组织,就从根源上减少了再次发生龋齿的风险。这样一来,补牙材料就能在稳定的环境下发挥作用,大大延长了补牙的使用寿命。例如,有些患者的牙齿只是表面出现了轻微龋坏,及时进行补牙,并且在后续的口腔护理中做得良好,那么补牙的成效就可能伴随终身。

不良情况对补牙寿命的影响
现实中,有特别多不良情况会影响补牙的使用寿命。反复的不良刺激是一大“杀手”,比如经常食用实力强、过黏的食物,会对补牙材料造成过度的磨损和拉扯,导致材料松动甚至脱落。发生继发龋齿也是常见问题,如果补牙后口腔卫生没做好,细菌会继续在牙齿周围滋生,引发新的龋坏,侵蚀补牙材料和剩余的牙体组织。口腔卫生不好更是补牙的“大敌”,不按时刷牙、饭后不漱口,食物残渣就会在口腔内残留,滋生细菌,产生酸性物质,腐蚀牙齿和补牙材料。此外,局部咬合力量过大也不容忽视,有些人存在咬合不正的问题,导致个别牙齿承受的压力过大,这会加速补牙材料的磨损和牙齿的破坏。这些不良情况都可能造成牙齿材料脱落或者牙齿的破坏,重度影响补牙后一般能维持的时间。

保养技巧延长补牙寿命
想要延长补牙的使用寿命,掌握一些保养技巧是必不可少的。首先,要保持良好的口腔卫生习惯。每天至少早晚各刷一次牙,刷牙时要采用正确的方法,确保牙齿的各个面都能得到清洁。饭后使用清水或者漱口水漱口,及时清除口腔内的食物残渣。其次,避免食用实力强、过黏的食物。像坚果、硬糖、口香糖等,尽量少吃或者不吃。如果想吃坚果,可以使用工具将其敲开后再食用,减少牙齿直接受力。另外,定期到口腔医院进行检查也特别重要。医生可以通过专精的设备和经验,及时发现补牙部位是否存在问题,如有无继发龋齿、补牙材料是否松动等,并采取相应的措施进行处理。一般建议每半年到一年进行一次口腔检查。还有,要注意保护牙齿,避免受到外力撞击。如果从事一些可能会对牙齿造成伤害的运动,如篮球、足球等,可以佩戴护齿套。

不同人群的补牙维持时间差异
不同年龄段的人群,补牙后一般能维持的时间也可能存在差异。对于年轻人来说,他们的牙齿活力较强,新陈代谢快,身体的修复能力也相对较好。如果在补牙后能遵循医生的建议,做好口腔护理,补牙的维持时间可能会相对较长。但年轻人往往生活比较活跃,饮食习惯也较为多样,可能更容易接触到一些对牙齿有损害的食物和行为,这又在一定程度上增加了补牙出现问题的风险。而中老年人的牙齿本身可能已经存在一些问题,如牙龈萎缩、牙体组织变脆等。这些因素会影响补牙的成效和维持时间。中老年人在补牙后,可能需要更加注意口腔卫生和饮食,定期进行口腔检查,及时处理牙齿出现的其他问题,以延长补牙的使用寿命。
补牙后一般能维持几年并没有一个确切的答案,它受到多种因素的综合影响。了解补牙维持时间的总体情况、理想情况和不良情况,掌握有效的保养技巧,根据自身年龄段特点做好口腔护理,都能帮助我们延长补牙的使用寿命。希望大家通过这篇文章,对补牙后一般能维持几年有更清晰的认识,在补牙后能够用心呵护自己的牙齿,让补牙成效更持久。如果你对补牙还有其他疑问,不妨询问专精的口腔医生,他们会为你提供更详细的建议和指导。

发表评论 取消回复