补牙的时候疼吗?这是许多即将补牙的患者心中的疑问。毕竟,谁都不想在治疗过程中承受不必要的痛苦。其实,补牙是否疼痛与多种因素相关。了解这些因素,不仅能让大家对补牙过程有更清晰的认识,还能提前做好应对准备。接下来,我们就跟随牙医的真实体验,一起揭秘补牙时的疼痛真相,并分享一些缓解技巧。

影响补牙疼痛的关键因素——麻醉情况
在补牙过程中,麻醉情况对是否疼痛起着重要作用。以前,补牙可能较少使用局部麻醉,在这种情况下,补牙操作特别可能会产生疼痛。不过现在,随着技术的进步,补牙大多会在局部麻醉下进行。
如果麻醉成效较好,一般来说患者不会感觉到明显的疼痛,或者仅有轻微的疼痛。但每个人对疼痛的耐受程度是不一样的,这就导致不同的人在同样的麻醉成效下,感受也会有所差异。比如,有些患者对疼痛比较敏感,即使在麻醉后,可能还是会觉得有一些轻微的不适;而对于那些疼痛耐受度较高的患者来说,可能就基本感觉不到疼痛。

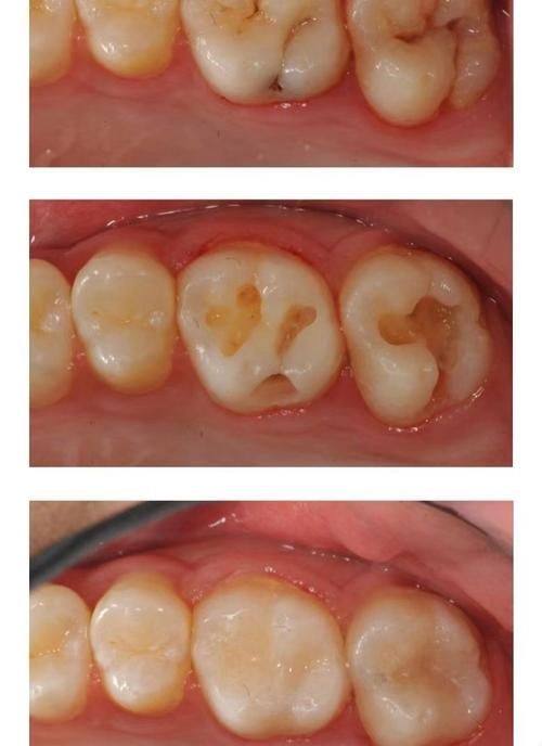
牙齿龋坏程度与疼痛的关系
牙齿龋坏程度也是决定补牙时是否疼痛的关键因素。不同程度的龋坏,在补牙过程中的感受是不同的。
当牙齿只是轻微龋齿,仅仅是釉质层受到损坏,还没有损伤到牙神经时,补牙时一般不会感觉到疼痛。因为釉质层中没有神经分布,所以在去除龋坏组织和填充材料的过程中,患者基本不会有明显的感觉。
要是牙齿损伤到了牙本质层,情况就有所不同了。牙本质层中有许多牙本质小管,里面含有神经末梢。在去腐质的过程中,可能会刺激到这些神经末梢,从而让患者感觉到酸痛。不过这种酸痛通常是可以忍受的,而且持续时间也不会太长。
而当牙齿破坏重度,已经导致牙髓炎时,补牙前就需要精良行牙髓治疗。在开放牙髓治疗的过程中,患者会感觉到比较明显的疼痛。这是因为牙髓腔内的压力增加,刺激到了牙髓神经。不过,医生会采取相应的措施来缓解疼痛,比如使用局部麻醉等。

牙医的真实体验分享
为了让大家更直观地了解补牙时的疼痛情况,我们来听听牙医的真实体验。有一位牙医分享说,在他的临床经验中,大多数轻微龋齿的患者在补牙时都没有明显的疼痛反应。他们在治疗过程中都比较放松,能够良好地配合治疗。
对于那些牙本质层受损的患者,虽然会有酸痛感,但只要医生操作得当,患者也能忍受。医生会尽量轻柔地去除腐质,减少对牙本质的刺激。而且,现在的牙科设备也越来越精良,能够更精细地进行治疗,降低患者的不适感。
而对于牙髓炎的患者,医生会在治疗前充分与患者沟通,让患者了解治疗的过程和可能出现的疼痛情况。在治疗过程中,会使用有效的麻醉方法,尽量减轻患者的痛苦。有一位患者在进行牙髓治疗时,因为麻醉成效好,只感觉到了轻微的疼痛,治疗结束后,疼痛也特别快就缓解了。

缓解补牙疼痛的实用技巧
如果担心补牙时会疼痛,其实有一些实用的技巧可以帮助缓解。首先,在补牙前要选择正规的口腔医院和有经验的医生。正规医院的设备更精良,医生的技术也更不错,能够提高治疗的成功几率,减少疼痛的发生。
在补牙过程中,患者要尽量放松心情。过度紧张会让肌肉紧绷,增加疼痛感。可以通过深呼吸、听音乐等方式来缓解紧张情绪。比如,有些患者在补牙时会戴上耳机听自己喜欢的音乐,这样可以分散注意力,减轻对疼痛的感知。
如果牙齿龋坏程度比较重度,需要进行牙髓治疗,患者可以在治疗前与医生沟通,选择合适的麻醉方式。现在有多种麻醉方法可供选择,医生会根据患者的具体情况来进行推荐。
补牙后,患者要按照医生的嘱咐进行护理。比如,避免食用实力强、过冷、过热的食物,保持口腔清洁等。这样可以促进牙齿的修复,减少疼痛的发生。

总结与行动建议
补牙的时候疼吗?通过以上的介绍,我们可以知道,补牙是否疼痛与麻醉情况、牙齿龋坏程度等因素密切相关。轻微龋齿补牙时一般不会疼,牙本质层受损可能会有酸痛,而牙髓炎患者在牙髓治疗时会有明显疼痛,但医生会采取措施缓解。
如果你有补牙的需求,不要因为担心疼痛而拖延。及时到正规的口腔医院进行检查和治疗,选择有经验的医生,放松心情,积极配合治疗。同时,运用我们分享的缓解疼痛技巧,相信你能顺利完成补牙,拥有健康的牙齿。

发表评论 取消回复