补牙能走医疗保险报销吗?这是特别多口腔患者关心的问题。在2026年,医疗保险政策不断变化,了解补牙报销的全新政策与流程,能为大家节省不少费用。本文将围绕这一核心问题,详细介绍补牙医疗保险报销的总体情况、不可报销的情况、报销条件、范围、限额等内容,让你清晰掌握补牙医疗保险报销的要点,为你的口腔治疗提供实用参考。

补牙医疗保险报销总体情况
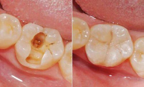
一般来说,补牙是可以走医疗保险报销的。牙科纳入医疗保险范围的项目主要有补牙(包含基本材料、治疗费)、拔牙、治疗牙周病、牙龈炎等牙病产生的费用。对于常规的补牙,只要是医疗保险范围内的基本材料和治疗费,都能走医疗保险报销程序。不过,有个重要前提,就是必须在定点医院的口腔科进行治疗,这样才能享受医疗保险报销。像单纯补牙这种情况,也就是龋齿损伤范围不大,只需要去除龋齿或者进行针管治疗(杀神经),然后用材料补上就能修复的,是可以走医疗保险报销的。所以,如果你有补牙需求,又想走医疗保险报销,一定要选择定点医院哦。

不可报销的情况
虽然补牙大多能报销,但也有一些口腔项目是不能走医疗保险报销的。比如种植牙和牙齿矫正,主要是因为它们的材料费用较高,像烤瓷牙、种植牙等,都属于特需服务费,所以不能进行医疗保险报销。洗牙、镶牙、正畸也不在报销范围内,这些都属于牙齿美容项目。要知道,医疗美容项目是不能用医疗保险卡报销的,因为它们不算疾病,医疗险条款里会明确写明这是除外职责。所以,当你考虑这些口腔项目时,就别指望医疗保险报销啦,但后面会提到,有些情况可以用医疗保险卡余额支付。

报销条件
要想补牙走医疗保险报销,需要满足一定条件。首先,只有治疗性质的牙科治疗才能用医疗保险报销。也就是说,如果只是为了美容等非治疗目的,是不能报销的。其次,补牙过程中的部分项目属于医疗保险范围,但患者必须持有《医疗保险手册》,并且要保留补牙过程中的各项消费明细。末尾,一定要到医疗保险定点医院治疗补牙,这样才能有效报销。如果你去了非定点医院,即使是补牙,也无法享受医疗保险报销待遇。所以,在补牙前,一定要确认医院是否为定点医院,准备好相关手册和明细。

报销范围与地区差异
基本的补牙以及拔牙、牙周炎等的治疗费用是可以报销的。但不同地区的医疗保险政策可能存在差异,有些地区的报销范围可能会更广,有些则可能会有一些限制。所以,在进行报销前,建议大家询问当地社保局,了解清楚当地的具体政策。比如,有些地方可能对补牙材料的种类有规定,只有特定的材料才能报销。了解这些地区差异,能让你在补牙时做好充分准备,避免不必要的麻烦。

报销限额与余额支付情况
医疗保险是有报销限额的,门诊和住院适用于同样的额度。一般来说,医疗保险报销的更高额度为20000元,超过这个部分就不纳入报销范围了,需要参保人自行支付。如果你觉得这个额度不够,还可以购买其他商业医疗保险作为补偿。另外,虽然镶牙、洗牙不能医疗保险报销,但可以用医疗保险卡的历年账户余额用于支付。这也算是一种减轻费用负担的方式。所以,大家可以关注一下自己医疗保险卡的余额情况。
补牙能走医疗保险报销吗?通过以上对2026年全新政策与流程的揭秘,相信大家已经有了清晰的答案。在补牙前,一定要了解当地的医疗保险政策,确认医院是否为定点医院,准备好相关材料。如果涉及到不能报销的项目,也可以考虑用医疗保险卡余额支付。希望大家都能合理利用医疗保险政策,为自己的口腔健康保驾护航。如果还有疑问,不妨询问当地社保局或专精人士。

发表评论 取消回复