补牙在口腔治疗中特别常见,特别多人都会关心补牙需要多长时间。其实补牙时间并非固定不变,会受到多种因素影响。一般来说,补牙需要30分钟到1个小时完成,但这只是一个大致范围。本文将为您详细解答补牙所需时间的相关问题,以及介绍补牙的治疗流程,希望能让您对补牙有更清晰的了解,在面对补牙时能做到心中有数。

补牙所需时间概述
不少人去补牙前都想弄清楚补牙需要多长时间。通常情况下,补牙的时间在30分钟到1个小时这个区间。不过,这只是个大概时间,实际补牙所花的时间会因为各种因素而有较大不同。在我们去补牙的时候,就会发现不同的人补牙所花的时间差异还挺大的。

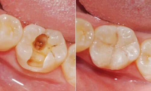
影响补牙时间的因素之龋坏程度
牙齿龋坏程度是影响补牙需要多长时间的重要因素。牙齿龋坏情况不同,补牙的步骤和难度也不一样,所需要的时间自然也会有差别。
浅龋是龋坏比较轻的一种情况,这个时候牙齿的龋坏只在表面,医生只需要把牙齿表面的腐质清理干净,然后直接进行填充就可以了。整个过程相对简单,所以耗时也比较短。
中龋的龋坏程度比浅龋深一些,细菌已经侵蚀到牙齿的中层了。这时候医生不仅要清理腐质,还需要制备合适的窝洞,并且对窝洞进行消毒。多了这些步骤,补牙所需要的时间也就延长了。
深龋是龋坏更重度的情况,细菌已经接近或者到达了牙髓。在这种情况下,医生可能需要先垫底来保护牙髓,然后才能进行后续的填充等操作。整个过程步骤更加复杂,花费的时间也就更多了。

影响补牙时间的因素之补牙材料
补牙材料的选择也会对补牙需要多长时间产生影响。目前常见的补牙材料有玻璃离子水门汀、银汞合金和复合树脂,不同的材料有不同的特性和操作要求。
玻璃离子水门汀这种材料凝固比较快,医生在填充后特别快就能完成操作。不过它的强度比较低,可能不太适合承受较大咬合力的牙齿。
银汞合金在使用时需要分层填充,并且要压实,这个过程相对比较耗时。但是它的强度比较高,耐用性好。
复合树脂是目前比较常用的补牙材料,它美观度高,和牙齿的颜色比较接近。不过它需要分层进行光固化,每一层都要经过光照固化,所以不同的材料操作时长差异特别明显,整体花费的时间也会有所不同。

影响补牙时间的因素之牙齿位置
牙齿位置也是影响补牙时间的一个因素。不同位置的牙齿,在补牙时的操作难度和视野情况都不一样。
前牙在口腔前方,操作空间比较大,医生的视野也比较清晰,所以在补牙的时候相对容易操作,花费的时间也会少一些。
后牙尤其是磨牙区,窝洞通常比较复杂。而且在补牙时,患者需要长时间张口,这会让患者感觉不太舒服,也会限制医生的操作。所以后牙尤其是磨牙区的补牙,通常会比前牙补牙多消耗一些时间。

影响补牙时间的因素之医生操作
医生的操作水平和经验也会和补牙需要多长时间密切相关。经验多的医生和新手医生在补牙的效率上会有较大的差距。
经验多的医生对补牙的各个步骤都非常熟悉,他们在清理腐质、制备窝洞等环节都能效率高地完成。而且他们能够根据牙齿的具体情况做出正确的判断,选择更合适的操作方法,所以整个补牙过程会比较顺利,花费的时间也会相对较少。
新手医生可能在一些操作环节还不够熟练,在清理腐质、制备窝洞时可能需要反复调整,以达到理想的成效。这样一来,就会增加补牙所需要的时间。

补牙相关建议
既然知道了补牙需要多长时间会受到这么多因素的影响,那么在补牙的时候,我们也可以采取一些措施来让补牙过程更加顺利。
在治疗前,一定要和医生充分沟通,了解这次补牙大致需要多长时间,这样可以让自己做好时间安排。如果牙齿龋坏情况比较复杂,医生可能会建议分次就诊,这样可以减轻患者一次就诊的负担,也能让治疗成效更好。
补牙后也有一些注意事项,刚补完牙后,不要立即咀嚼硬物,要给充填体一定的时间来稳固,这样才能更好地保护补牙的成效。
总之,补牙需要多长时间受到龋坏程度、补牙材料、牙齿位置和医生操作等多种因素的影响。了解这些因素后,我们在补牙前就能有更合理的预期。在补牙时,要积极和医生沟通,选择适合自己的补牙材料和方案。补牙后也要按照医生的建议做好护理,这样才能让我们拥有健康美丽的牙齿。如果您有补牙的需求,不妨根据自己的情况,选择一家靠谱的口腔机构和经验多的医生,开启您的补牙之旅。

发表评论 取消回复