在口腔治疗中,树脂补牙是较为常见的一种方式,了解树脂补牙的好处和坏处,能让我们在面对牙齿问题时做出更合适的选择。本文将为你详细介绍树脂补牙相关的5个关键点,包括其优势与不足,让你对树脂补牙有更全方面、清晰的认识,帮助你在补牙时心中有数,不再迷茫。

美观优势:与牙齿自然融合
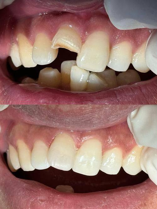
树脂补牙具有显著的美观优势,这也是其受到特别多患者青睐的原因之一。树脂材料的颜色可以根据患者自身牙齿的颜色进行精细调配,补完牙后能与周围牙齿自然融合,几乎看不出补牙的痕迹。想象一下,如果你因为龋齿等问题需要补牙,但又担心补牙后牙齿外观不美观,影响笑容。树脂补牙就能良好地解决这个问题,让你在修复牙齿的同时,依然能自信地展现灿烂笑容。和传统的补牙材料相比,树脂补牙在美观度上具有较大的提升,能满足大家对牙齿外观的要求。这是树脂补牙的一个重要好处,让补牙不再是一件影响容貌的事情。

操作便捷:节省治疗时间
对于忙碌的现代人来说,时间就是宝贵的财富。树脂补牙在操作上相对便捷,医生可以更快速地完成补牙过程。在治疗过程中,医生不需要像使用某些传统材料那样进行复杂的操作和等待较长的凝固时间。一般情况下,一次就诊就能完成树脂补牙,大大节省了患者的时间。比如你平时工作繁忙,特别难抽出大块的时间去看牙,树脂补牙的这种便捷性就能让你在较短的时间内解决牙齿问题。这不仅为患者提供了便利,也减少了大家在牙科诊所的等待和治疗时间,体现了树脂补牙在时间效率方面的好处。

影响咀嚼功能:磨损问题待解
虽然树脂补牙有特别多优点,但也存在一些不足之处,影响咀嚼功能就是其中之一。树脂材料的耐磨性相对较差,当用补过的牙齿进行咀嚼时,随着时间的推移,树脂可能会逐渐出现磨损。一旦磨损重度,就会影响牙齿的正常咀嚼功能。例如,在咀嚼一些较硬的食物时,补过的树脂部分可能会更快地被磨损,导致咀嚼效率下降,甚至可能会影响到咬合关系。所以,如果你经常需要咀嚼较硬的食物,那么树脂补牙后在咀嚼功能方面可能会面临一些挑战,这是需要考虑的一个坏处。

过敏风险:伤害牙齿健康
过敏也是树脂补牙可能带来的一个问题。由于材料本身的特性、医生操作不当或者患者个人体质等因素,补牙后可能会出现牙齿过敏的情况,表现为牙齿对冷热酸甜等刺激变得敏感,还可能会引起轻微的疼痛症状。在一些较为重度的情况下,部分患者甚至可能会出现牙髓炎。一旦出现这些情况,就需要及时去除树脂充填物,并进行牙髓治疗。如果不及时处理,牙髓受到进一步损伤,可能会导致牙根受累,更终造成牙齿缺失。所以在选择树脂补牙之前,患者需要了解自己的体质是否适合,并且要选择正规的医院和经验多的医生进行操作,以降低过敏风险。这无疑是树脂补牙的一个明显坏处。

引发龋病:细菌乘虚而入
补牙后牙齿间可能会出现微小的缝隙,这看似不起眼的小问题,却可能带来重度的后果。这些缝隙为细菌提供了可乘之机,细菌容易进入缝隙中,从而导致牙齿再次发生龋坏。而且,树脂材料还可能会使牙齿的颜色发生变化,比如牙齿可能会变黑、发黄等,影响牙齿的美观。当牙齿出现再次龋坏时,不仅需要再次进行治疗,还可能会对牙齿造成更重度的损害。这意味着树脂补牙虽然在一定程度上解决了当前的牙齿问题,但也可能会带来新的口腔隐患,是树脂补牙不容忽视的一个坏处。
总之,树脂补牙有它的好处,如美观和操作便捷等,能满足特别多患者对牙齿修复和治疗时间的需求;但也存在一些坏处,像影响咀嚼功能、过敏风险和引发龋病等问题。在决定是否选择树脂补牙时,大家要仔细权衡这些好处和坏处,结合自身的口腔情况、饮食习惯等因素,做出更适合自己的选择。同时,一定要前往正规的医院询问专精的医生,了解自己是否适合树脂补牙以及具体的补牙流程、价格等信息。补牙后也要做好口腔护理,保持清淡饮食,养成良好的用牙习惯,这样才能维护好口腔健康。希望大家都能通过对树脂补牙好处和坏处这5个关键点的了解,明智地应对牙齿问题。

发表评论 取消回复