补牙是特别多人都经历过的口腔治疗,而树脂补牙是常见的方式之一。不少人补完牙后都会有这样的疑问:树脂补牙后多久可以吃东西?这个问题其实特别关键,因为合理的进食时间能保护补牙成效和口腔健康。今天我们就来详细揭秘树脂补牙后至佳的等待进食时间,为大家提供实用的参考,让大家在补牙后能更好地呵护自己的牙齿。

树脂补牙原理及进食基础时间
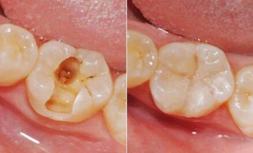
树脂补牙是目前比较受欢迎的补牙方式,它采用的树脂材料是光固化的。在补牙过程中,医生会将树脂材料填充到牙齿龋坏的部位,然后通过特殊的光照设备进行照射,使树脂材料快速硬化。这就意味着,树脂补牙后其实可以立即吃东西。因为在光照结束的那一刻,树脂材料已经完成了硬化处理,具备了一定的强度,能够承受一定程度的咀嚼压力。所以,从理论上来说,树脂补牙后马上进食是没问题的。
当天饮食的温度禁忌
虽然树脂补牙后能立即吃东西,但当天在饮食温度方面还是有讲究的。树脂材料本身对牙髓有一定的刺激性,牙髓是牙齿内部包含神经和血管的组织。如果补牙当天就吃过冷或过热的食物,这些食物的温度变化可能会刺激到牙髓。比如,吃了冰淇淋等冰冷食物或者喝了热咖啡等过热饮品,可能会让牙齿产生酸痛等不适感觉。所以,为了减少树脂材料对牙髓的刺激,当天更好避免吃过冷过热的食物,选择温度适中的食物进食比较好。

蛀牙深度对进食时间的影响
蛀牙的深度也是影响树脂补牙后进食时间的一个重要因素。如果蛀牙本身比较浅,树脂补牙后对牙髓的刺激相对较小,在遵循当天不吃过冷过热食物的原则下,正常饮食基本不会有太大问题。但要是蛀牙较深,情况就不同了。较深的蛀牙意味着牙髓离外界刺激更近,树脂材料本身的刺激加上过冷过热食物的双重刺激,特别可能导致牙神经发炎。一旦牙神经发炎,牙齿就会出现剧烈疼痛等症状,影响日常生活和口腔健康。所以,对于蛀牙较深的患者,建议尽量在补牙3 - 5天后再吃过冷过热的食物,给牙髓足够的时间适应补牙后的状态。

不同食物的选择建议
树脂补牙后,除了要注意进食时间和食物温度,食物的质地也特别重要。在补牙后的短期内,尽量选择一些柔软、易咀嚼的食物,比如米粥、面条、豆腐等。这些食物不会对补牙部位造成过大的压力,能减少树脂材料脱落的风险。避免吃太硬、太黏的食物,像坚果、口香糖等。太硬的食物可能会导致树脂材料破裂或脱落,太黏的食物则可能会把树脂材料粘下来,影响补牙成效。随着时间推移,补牙部位逐渐稳定后,可以逐渐修复正常饮食,但也要注意不要过度用力咀嚼硬物。

进食后的口腔护理
树脂补牙后,进食后的口腔护理也不容忽视。每次进食后,要及时用清水漱口,清除口腔内的食物残渣,防止食物残渣在口腔内滋生细菌,影响补牙部位的健康。如果条件允许,使用牙线清洁牙齿邻面也是个不错的选择。此外,要按照医生的建议按时刷牙,保持口腔清洁卫生。良好的口腔护理习惯不仅能延长树脂补牙的使用寿命,还能预防其他口腔问题的发生。
综上所述,树脂补牙后多久可以吃东西这个问题,答案并不是单一的。一般来说可以立即吃东西,但在饮食温度和食物质地方面要根据蛀牙深度等情况进行合理调整。对于蛀牙较浅的患者,当天注意饮食温度即可;而蛀牙较深的患者,更好在3 - 5天后再尝试吃过冷过热食物。同时,选择合适的食物和做好进食后的口腔护理也非常重要。希望大家在了解这些知识后,能在树脂补牙后更好地安排饮食,保护好自己的牙齿。如果你还有其他关于树脂补牙的疑问,不妨询问专精的口腔医生。

发表评论 取消回复