你是不是刚补完牙,满心期待又有点小担忧,特别想知道补牙后一般能维持几年?其实,补牙能维持的时间可是个大家都关心的问题,它直接关系到咱们牙齿后续的健康和生活质量。今天这篇文章就来给大家揭秘牙齿修复的真实寿命,详细分析影响补牙维持时间的因素,还会分享实用的注意事项,让你对补牙成效心里有数,一起来看看吧!

什么是补牙?
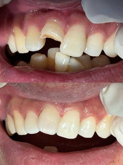
简单来说,当咱们的牙齿有缺损,或者某部分因为龋齿受到损伤时,医生就会用一种坚硬的材料来填充牙齿上的窝洞,这就是补牙。比如你吃甜食太多,牙齿被蛀出了洞,就需要去补牙啦。补牙能修复牙齿的外形和功能,让咱们继续愉快地享受美食。

补牙后一般能维持几年?
通常情况下,牙齿发生龋坏或缺损后去补牙,补牙成效能维持 5 - 10 年左右。不过这只是个大概的范围,实际的维持时间会受到特别多因素的影响。有些朋友保养得好,补牙材料可能用了十几年还好好的;但也有一些人,没过几年就需要重新补牙了。所以说,补牙后一般能维持几年并不是一个固定的数字哦。

影响补牙维持时间的因素
牙齿使用频率
如果你经常用补过的牙齿咀嚼坚硬的食物,像坚果、骨头之类的,那牙齿和补牙材料承受的压力就会比较大,时间长了,补牙材料可能就容易松动、磨损,补牙的成效维持时间也就会缩短。相反,如果平时比较注意,尽量避免用补过的牙齿吃太硬的东西,那补牙材料就能使用更久。
患者日常口腔护理
日常口腔护理对补牙的维持时间影响可大啦!如果你每天早晚认真刷牙,饭后及时漱口,能有效清除口腔里的食物残渣和细菌,减少对牙齿和补牙材料的腐蚀,补牙就能维持更久。但要是你口腔卫生做得不好,牙齿周围堆满了细菌和污垢,就容易引发新的龋齿,导致补牙材料松动,缩短补牙的使用寿命。
补牙手术所用填充材料
不同的补牙填充材料,性能和使用寿命也不一样。目前常见的补牙材料有树脂材料、银汞合金等。树脂材料颜色和牙齿相近,美观度高,但相对来说耐磨性可能差一些;银汞合金耐磨性好,但颜色不太美观。一般来说,质量好、性能稳定的填充材料,补牙后维持的时间会更长。
龋洞大小、部位
龋洞的大小和部位也会影响补牙的维持时间。如果龋洞比较小,补牙时填充材料能更好地固定,维持时间相对较长;要是龋洞较大,牙齿本身的结构受到了重度破坏,补牙材料就不太容易稳固,维持时间可能就会短一些。另外,龋洞的部位也特别关键,比如在牙齿的咬合面,承受的咀嚼压力大,补牙材料就更容易磨损。

补牙后注意事项
口腔卫生
补牙后,一定要注意口腔卫生哦!养成早晚刷牙、饭后漱口的好习惯。选择软毛牙刷,采用正确的刷牙方法,每次刷牙时间不少于 3 分钟。这样能有效清除口腔里的细菌和食物残渣,保护牙齿和补牙材料,延长补牙的使用寿命。
饮食选择
补牙后的饮食也有讲究。刚补完牙,尽量选择清淡、柔软的食物,像粥、面条、豆腐之类的。避免食用实力强、过于粗糙或可能引起牙齿敏感的食物,比如甘蔗、辣椒等。因为实力强的食物可能会损坏补牙材料,而过于粗糙或刺激性的食物可能会诱发牙齿敏感症状,影响补牙成效。
咀嚼方式
补牙后,先别急着用患侧牙齿咀嚼。可以先用健侧牙齿吃东西,等 24 小时后,填充材料完全凝固了,再用患侧牙齿咀嚼。这样能避免影响填充材料的凝固和固定,确保补牙的成效。

如何延长补牙的使用寿命
除了上面提到的注意事项,还有一些方法可以延长补牙的使用寿命。定期去口腔医院检查牙齿,一般每半年到一年检查一次。医生可以及时发现牙齿和补牙材料的问题,并进行处理。另外,使用含氟牙膏刷牙,能增强牙齿的抗龋能力。也可以询问医生,看是否需要使用牙线、漱口水等辅助清洁口腔。
补牙后一般能维持几年并没有一个确切的答案,它受到多种因素的影响。通过了解补牙的相关知识,注意日常口腔护理和饮食,选择合适的填充材料,咱们可以尽可能地延长补牙的使用寿命。希望大家都能保护好自己的牙齿,让补过的牙齿陪伴咱们更久!如果你还有关于补牙的其他问题,不妨询问专精的口腔医生哦。

发表评论 取消回复