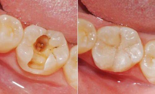
补牙是特别多人解决牙齿龋坏问题的选择,但补牙后内部会继续烂吗?这是众多口腔患者关心的问题。其实,补牙后牙齿内部存在继续烂的可能性,不过也有相应的预防办法。了解这些真相,能让你更好地呵护补过的牙齿,避免牙齿出现二次问题。接下来,我们就一起深入了解这方面的知识。
补牙后内部继续烂的潜在风险
补牙后内部会继续烂吗?答案是存在这种可能性。牙齿龋坏后,我们通常会选择补牙来修复。然而,补过的牙齿并非就一劳永逸。有的牙齿龋洞特别深,在补牙时又没有杀神经,牙本质小管就会出现渗透和反应。补牙之后,长期的咀嚼压力或者冷热食物带来的温度刺激,都可能会激惹到牙髓神经。时间一长,牙齿内部就可能出现牙髓炎症状,进而继续发炎、腐烂。另外,在牙齿和充填材料之间,如果平时刷牙没有刷干净,就容易产生继发性龋齿。一旦出现小裂纹和缝隙,细菌就会趁机而入,导致牙齿内部继续损坏。

牙齿未杀神经且龋洞深的影响
当牙齿龋洞较深却未杀神经时,牙本质小管就像一条条通道,会有物质渗透进去。补牙后,牙齿看似修复好了,但实际上内部的牙本质小管依然处于敏感状态。想象一下,我们日常吃东西时,牙齿要承受咀嚼的压力,而且还会接触到各种温度的食物。过冷或过热的食物就像一个个小刺激源,不断地刺激着牙髓神经。刚开始可能只是偶尔有点不舒服,但随着时间的推移,牙髓神经受到的刺激越来越多,就可能引发牙髓炎。一旦牙髓炎发作,牙齿内部就会出现炎症,疼痛难忍不说,牙齿内部也会逐渐烂下去。所以,对于龋洞深且未杀神经的牙齿,补牙后更要格外注意。

继发龋齿的形成原因
继发龋齿是补牙后牙齿内部继续烂的另一个重要原因。补牙时,医生会用充填材料将龋洞填充起来,但这并不意味着牙齿和充填材料之间就完全无缝隙了。如果我们平时刷牙不认真,没有把牙齿和充填材料之间的缝隙清理干净,食物残渣和细菌就会在这里堆积。时间久了,细菌会利用这些食物残渣产生酸性物质,腐蚀牙齿。慢慢地,牙齿和充填材料之间就会出现小裂纹和缝隙,细菌进一步深入牙齿内部,导致牙齿继续烂下去。所以,保持良好的口腔卫生习惯对于预防继发龋齿非常重要。

预防补牙后牙齿内部继续烂的方法
既然知道了补牙后牙齿内部有继续烂的风险,那我们该如何预防呢?首先,要避免刺激。补过的牙齿比较敏感,过冷、过热的食物对它来说就像“敌人”。吃冰淇淋、喝热咖啡等行为都可能刺激到牙髓神经,增加牙齿内部发炎的风险。所以,尽量选择温度适中的食物。其次,要学会正确的刷牙方法。正确刷牙能有效清洁口腔,减少细菌滋生。我们可以采用巴氏刷牙法,将牙刷与牙长轴呈45度角指向根尖方向,按照牙龈 - 牙交界区,使刷毛一部分进入龈沟,一部分铺于龈缘上,尽可能伸入邻间隙内,用轻柔压力使刷毛在原位进行前后方向短距离的水平颤动,每次颤动4 - 5次,颤动时牙刷移动约1毫米,每次只刷2 - 3颗牙,再将牙刷移至下一组牙,末尾将口腔牙齿全部清洁干净。每天至少刷牙两次,每次刷牙时间不少于三分钟。

日常口腔护理的重要性
除了上述预防方法,日常的口腔护理也至关重要。我们可以使用牙线来清洁牙齿邻面,牙线能深入到牙齿缝隙中,清除刷牙难以触及的食物残渣和细菌。另外,定期到口腔医院进行检查也特别有必要。医生可以通过专精的设备和技术,及时发现牙齿是否存在问题,比如是否有继发龋齿、牙髓是否有炎症等。如果能早期发现问题,就能及时采取措施进行处理,避免牙齿内部继续烂下去。所以,不要觉得补过牙就不用管了,日常的口腔护理和定期检查是保护补过牙齿的重要手段。
补牙后内部会继续烂吗?通过以上的介绍,我们知道补牙后牙齿内部确实存在继续烂的可能性,但只要我们了解其原因,并采取有效的预防措施,就能降低这种风险。在日常生活中,要避免刺激补过的牙齿,学会正确刷牙,做好日常口腔护理,定期到口腔医院检查。这样,我们就能更好地保护补过的牙齿,让它陪伴我们更久。如果你对补牙后牙齿护理还有其他疑问,不妨询问专精的口腔医生,他们会为你提供更详细的建议。

发表评论 取消回复