补牙是特别多人解决牙齿问题的常见方式,但不少人心中都有个疑惑:补牙后内部会继续烂吗?其实,这个问题困扰着众多补过牙的患者。补牙后牙齿内部是否会继续损坏,不仅关系到牙齿的后续健康,还影响着我们的生活质量。本文将深入探讨补牙后内部会继续烂的原因,并给出实用的预防建议,让你对补牙后的牙齿护理有更清晰的认识。

补牙后内部继续烂的现象普遍吗
补牙后内部继续烂这种情况并非个例,特别多人在补牙后都可能遇到牙齿内部再次损坏的问题。不过,这并不是所有补牙患者都会遇到的情况。每个人的牙齿状况、补牙方式以及术后护理等因素,都会影响补牙后牙齿的健康状况。有些患者补牙后,牙齿能长期保持良好状态;而有些患者则可能在一段时间后出现内部继续烂的情况。所以,不能简单地说补牙后内部继续烂是普遍现象,但也不能忽视这种可能性。

补牙后内部会继续烂的原因
补牙后牙齿内部继续烂,主要有以下两个常见原因。
牙髓神经受激惹:在补牙过程中,医生虽然会把牙齿内部的腐质清除掉,但有些牙齿没有杀神经,并且龋洞比较深。牙本质小管就像一条条细小的通道,存在渗透和反应。补牙之后,日常生活中长时间的咀嚼压力,以及冷热食物带来的温度刺激,都会刺激到牙髓神经。经过一段时间的深洞充填治疗后,牙齿可能会出现牙髓炎的症状,也就是牙齿内部继续发炎。简单来说,就是补牙后的牙齿在受到外界刺激后,牙髓神经做出反应,导致牙齿内部出现问题。
继发龋齿:补过的牙齿,牙齿和充填材料之间如果平时没有刷干净,就容易产生继发性龋齿。这就好比在牙齿和补牙材料的连接处,有了细菌滋生的温床。细菌会逐渐侵蚀牙齿,导致牙齿出现小裂纹和缝隙,进而使得牙齿内部继续损坏。这就提醒我们,补牙后保持口腔清洁非常重要。

如何判断补牙后内部是否继续烂
了解了补牙后内部会继续烂的原因,那么如何判断自己补牙后的牙齿内部是否继续烂了呢?
疼痛感受:如果补牙后牙齿经常出现疼痛,尤其是在吃冷热食物或者咀嚼东西时疼痛加剧,特别可能是牙齿内部有问题了。这种疼痛可能是间歇性的,也可能是持续性的。如果疼痛不缓解或者越来越重度,就要及时去看医生。
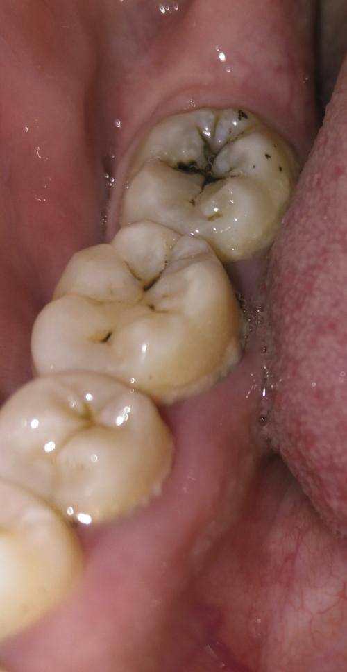
牙齿外观:仔细观察补牙的部位,如果发现牙齿表面出现变色,比如变成黑色或者褐色,或者充填材料周围有缝隙、缺损,这可能意味着牙齿内部正在发生变化。
口腔异味:如果补牙后口腔里一直有异味,而且刷牙、漱口都无法消除,这可能是牙齿内部有腐质,细菌分解产生了难闻的气味。

预防补牙后内部继续烂的建议
知道了补牙后内部会继续烂的原因和判断方法,我们就要采取措施来预防这种情况的发生。
避免刺激:补牙后要尽量避免吃过冷、过热的食物。因为冷热刺激容易激惹牙髓神经,增加牙齿内部发炎的风险。比如,刚从冰箱里拿出来的冰淇淋,或者刚煮好的热汤,都要等温度适中后再吃。
正确刷牙:学会正确的刷牙方法至关重要。每天至少刷牙两次,每次刷牙时间不少于三分钟。可以选择软毛牙刷,采用巴氏刷牙法,将牙齿的每个面都清洁干净。这样可以有效防止细菌滋生,减少继发龋的发生。
定期检查:定期去口腔医院进行检查,让医生了解牙齿的情况。医生可以通过专精的设备,及时发现牙齿内部是否有问题,并采取相应的治疗措施。一般建议每半年到一年检查一次牙齿。

总结与建议
补牙后内部会继续烂吗?这个特别多患者关心的问题,其实答案并不是完全地的。补牙后牙齿内部有可能继续烂,但通过了解其原因并采取有效的预防措施,我们可以降低这种风险。如果发现补牙后的牙齿有异常情况,一定要及时就医,避免问题恶化。希望大家都能重视补牙后的牙齿护理,拥有健康的口腔。如果你还有其他关于补牙的疑问,不妨询问专精的口腔医生,他们会为你提供更详细的解答。

发表评论 取消回复