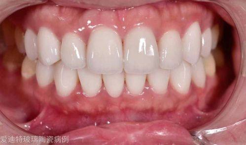
全瓷牙
全瓷牙列表
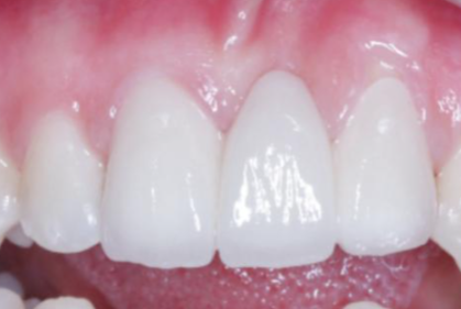
全瓷牙500一颗正常吗?揭秘价格背后的真相!
文章围绕“全瓷牙500一颗正常吗”展开探讨。全瓷牙价格通常在500 - 3000元,其受材料、医院等级、地区差异、医生经验、患者口腔情况等因素影响。判断价格是否合理,需综合多方面考量,不能只看价格。500元一颗处于常见区间,但具体要结合实际情况判断,选全瓷牙应多了解对比,选适合自己的方案。
全瓷牙
2026年03月26日
全瓷牙冠价格揭秘:2026年最新费用一览与选择指南!
本文围绕2026年全瓷牙冠价格及选择展开。市场上全瓷牙冠价格差异大,低价牙冠在材料、工艺等方面有潜在风险。影响价格的因素包括材料、医生技术、地区差异和医院级别等。建议选择时综合考量材料、医生、工艺、售后等。给出大致价格参考,提醒不要盲目追求低价或高价,希望大家选到适合的牙冠。
全瓷牙
2026年03月26日
全瓷牙为什么不建议做?揭示5大潜在风险与真相!
文章围绕“全瓷牙为什么不建议做”展开,揭示5大潜在风险:术后敏感,牙本质暴露致冷热刺激酸痛;咬合不适,易诱发颞下颌关节紊乱;美观有落差,实际与期望有差距;经济成本高,价格高于金属烤瓷牙;存在适应症问题,牙周不佳或有磨牙症者做全瓷牙风险高。提醒人们综合多因素谨慎选择,可咨询专业医生。
全瓷牙
2026年03月26日
全瓷牙套的寿命是几年呢?揭秘持久美齿的秘密!
本文围绕全瓷牙套寿命展开。全瓷牙套一般能用5 - 10年,不同类型寿命有别,玻璃陶瓷约5 - 6年、铸瓷6 - 7年、二氧化锆约10年。其寿命受口腔卫生、饮食习惯、医生技术等因素影响。要延长寿命,需做好口腔清洁、注意饮食、避免外力撞击。选择时要综合自身情况,日常注重护理,有问题可咨询医生。
全瓷牙
2026年03月23日
全瓷牙使用寿命是多少?揭秘持久美牙的秘密!
本文围绕全瓷牙使用寿命展开。一般全瓷牙能用10 - 15年,但受多种因素影响。材料方面,氧化锆耐磨、玻璃陶瓷美观;口腔护理要定期洁牙、正确刷牙;不良咬合习惯会加速磨损,必要时戴咬合垫;基牙条件好固位更稳定。日常要避免咬硬物、用含氟牙膏,有问题及时复诊,做好维护可延长全瓷牙使用寿命。
全瓷牙
2026年03月19日
活动义齿和吸附性义齿哪种最舒服?详解3大关键因素!
文章围绕“活动义齿和吸附性义齿哪种最舒服”展开,从多方面对比两者差异。固定、材料设计、适应期上吸附性义齿优势明显,能减少刺激、降低异物感、缩短适应期;价格上活动义齿亲民但维护复杂。同时,患者口腔条件也影响舒适度。总体吸附性义齿更舒适但价格高,患者应结合经济与口腔状况,咨询医生后选择。
全瓷牙
2026年03月18日
活动义齿我带了十几年,真的值得吗?看我的真实体验!
本文作者分享了佩戴活动义齿十几年的真实体验。初期活动义齿价格亲民、安装方便、可自行摘戴,带来不少便利。但长期佩戴后,出现牙齿磨耗、基牙松动、牙槽骨萎缩等问题,还存在健康隐患。解决办法是重新制作义齿。作者建议选择时要理性,短期缺牙或经济有限可选择活动义齿,条件允许建议选种植牙,同时注意口腔卫生和定期检查。
全瓷牙
2026年03月18日
全瓷牙500一颗正常吗?揭示价格背后的真相!
文章围绕“全瓷牙500一颗是否正常”展开探讨。全瓷牙价格受材料、医院等因素影响,价格区间在500 - 3000元。低价可能是使用低价材料或在收费低的医院,高等医院此价格可能有问题。选择全瓷牙要明确需求预算,选正规医院和专业医生,综合考量各因素,理性决策,必要时可咨询口腔医生。
全瓷牙
2026年03月18日
全瓷牙500和1000区别:哪个更适合你的口腔需求?
本文围绕全瓷牙500和1000的区别展开。从修复位置看,500元多用于后牙,1000元可用于前后牙;材料品牌和工艺上,500元多为国产,1000元可能是较好国产或基础进口材料;地区经济和医疗机构定价策略也影响价格。若后牙修复、预算有限选500元,注重美观、预算足选1000元,选时要选正规机构并与医生沟通。
全瓷牙
2026年03月18日
活动义齿晚上必须摘下来吗?5个理由告诉你真相!
文章围绕“活动义齿晚上是否必须摘下”展开,给出肯定答案。夜间持续佩戴义齿会带来牙龈压迫、细菌滋生、黏膜损伤、颌骨吸收等问题,影响口腔健康。建议睡前摘下义齿,用软毛刷清洁后浸泡冷水,还可用假牙清洁片消毒。日常要每日清洁义齿、定期口腔检查,养成良好习惯,维护口腔健康。
全瓷牙
2026年03月18日
