烤瓷牙
烤瓷牙列表
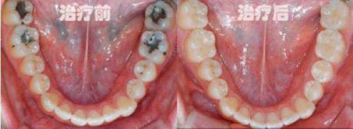
烤瓷牙套是永久的吗?揭秘持久性与护理秘诀!
很多人在考虑做烤瓷牙套时,都会有这样的疑问:烤瓷牙套是永久的吗?其实,烤瓷牙套作为现代牙科修复技术的一种,虽然耐磨、美观且稳定性强,但并非永久的解决方案。它的使用寿命受多种因素影响,了解这些因素以及掌握护理秘诀,能让你更好地维护牙齿健康与美观。接下来,我们就一起深入探讨一下烤瓷牙套的持久性以及相关护理知识。
烤瓷牙
2026年05月07日
烤瓷牙的寿命是几年会臭?揭秘护理秘诀与常见误区
很多人都关心烤瓷牙的寿命是几年会臭这个问题。烤瓷牙作为常见的牙齿修复方式,其使用寿命和是否会发臭备受关注。了解烤瓷牙的寿命、影响因素以及护理方法,能帮助大家更好地使用烤瓷牙,避免陷入常见误区。接下来,我们就一起深入探讨烤瓷牙的相关知识,为你的口腔健康保驾护航。
烤瓷牙
2026年05月07日
烤瓷牙是什么?揭开5大真相,助你做出明智选择!
当你面对牙齿缺损、变色等问题时,烤瓷牙或许是一个不错的解决方案。但“烤瓷牙是什么”,很多人可能并不清楚。其实,烤瓷牙是一种常见的牙科修复体,它能修复缺损牙齿、改善牙齿外观。本文将揭开关于烤瓷牙的5大真相,从定义、制作、特性、适用情况到使用注意事项,为你提供全面的信息,助你在牙齿修复的道路上做出明智的选择。
烤瓷牙
2026年05月06日
陶瓷牙能维持多久?揭示使用寿命与护理秘诀!
很多人在考虑做陶瓷牙时,都会关心陶瓷牙能维持多久这个问题。毕竟,谁都希望做一次牙齿修复,能有较长时间的良好效果。其实,陶瓷牙的使用寿命受多种因素影响,了解这些因素以及掌握正确的护理秘诀,不仅能让你对陶瓷牙的使用有更清晰的认知,还能帮助你延长陶瓷牙的使用寿命。接下来,就让我们一起深入探讨陶瓷牙的使用寿命和护理方法吧。
烤瓷牙
2026年05月06日
烤瓷牙的寿命一般是多少年?揭秘持久美齿的真相!
在口腔修复领域,烤瓷牙是很多人改善牙齿外观和功能的选择。然而,大家都十分关心“烤瓷牙的寿命一般是多少年”这个问题。其实,烤瓷牙的寿命并非固定不变,它受到多种因素的影响。了解这些因素以及如何延长烤瓷牙的使用寿命,对于想要做烤瓷牙或者已经安装了烤瓷牙的人来说至关重要。接下来,我们就一起深入探讨这个话题,揭开持久美齿的真相。
烤瓷牙
2026年05月06日
烤瓷牙有必要做吗?揭示3大理由让你了解真相!
在考虑牙齿修复时,很多人都会问:“烤瓷牙有必要做吗?”其实,这得根据个人的牙齿状况来判断。烤瓷牙在某些情况下能带来稳固且美观的效果,但也并非适用于所有人。本文将为大家揭示做烤瓷牙的3大理由,同时也会说明不适合做烤瓷牙的情况,以及选择烤瓷牙的注意事项,帮助大家了解真相,做出最适合自己的决定。
烤瓷牙
2026年05月06日
烤瓷牙大概多少钱一颗?2026年全新价格揭秘!
在考虑牙齿修复时,很多人都会关心“烤瓷牙大概多少钱一颗”。烤瓷牙作为常见的牙齿修复方式,价格因多种因素而有所不同。本文将为你揭秘2026年烤瓷牙的全新价格,涵盖不同材料烤瓷牙的价格区间,以及影响价格的各种因素,让你清晰了解烤瓷牙的费用情况,为你的牙齿修复提供参考。
烤瓷牙
2026年04月30日
烤瓷牙有必要做吗?揭示3大理由让你了解真相!
在口腔修复领域,烤瓷牙是一种常见的治疗方式,但很多人都会问:“烤瓷牙有必要做吗?”其实,这个问题没有绝对的答案,它取决于个人的牙齿状况和需求。本文将从烤瓷牙的适用情况、不适用情况以及其他注意事项等方面,揭示三大理由,让你了解做烤瓷牙是否有必要,帮助你做出更合适的决策。
烤瓷牙
2026年04月30日
烤瓷牙是什么?揭开5大真相,助你做出明智选择!
你是否好奇烤瓷牙是什么?在口腔修复领域,烤瓷牙是一种常见的修复方式。它能改善牙齿的外观和功能,让你重拾自信笑容。然而,很多人对烤瓷牙的了解并不全面。本文将揭开关于烤瓷牙的5大真相,从定义、制作过程、材料特性、适用情况到安装后注意事项等方面,为你详细介绍,帮助你在面对牙齿问题时,做出明智的选择。
烤瓷牙
2026年04月30日
烤瓷牙大概多少钱一颗?2026年全新价格揭秘!
在口腔修复领域,烤瓷牙是很多人的选择。但“烤瓷牙大概多少钱一颗”是大家普遍关心的问题。2026年,烤瓷牙价格受多种因素影响,差异较大。了解这些价格信息,能让你在修复牙齿时做出更合适的决策。本文将为你详细揭秘2026年烤瓷牙的全新价格,让你清楚每一笔钱花在哪里。
烤瓷牙
2026年04月30日
