根管治疗分几个步骤?揭秘4个关键环节让你安心! 本文介绍了根管治疗的四个关键步骤及治疗后注意事项。步骤包括:开髓引流,缓解疼痛、降低髓腔压力;根管预备,扩大根管、塑造通路;根管消毒,消除残余微生物;根管充填,密封根管、恢复牙齿功能。治疗后要避免患牙咀嚼硬物、定期复查,听从建议做冠修复。了解这些能让患者面对治疗更安心,保障牙齿长久健康。 根管治疗 2026年03月25日 0 点赞 0 评论 18 浏览
洗牙后多久可以正常饮食?教你恢复饮食的最佳时间! 本文围绕洗牙后多久可正常饮食展开。洗牙后1 - 2小时可进食流质或半流质食物,5 - 7天过渡期需清淡饮食,避免过硬、过酸等食物。5 - 7天后可逐渐恢复正常饮食,但要循序渐进。此外,洗牙后若有炎症要遵医嘱用药,可用漱口水辅助清洁,还需避免舔触牙齿,定期检查,以促进口腔健康恢复。 洗牙 2026年03月25日 0 点赞 0 评论 16 浏览
正规医院种牙价目表:2026年最新价格揭秘,你准备好了吗? 本文揭秘2026年正规医院种牙价目表。种植牙费用由种植体、基台、牙冠、手术费、术前检查等构成,不同部分价格有差异。种牙总费用受地区、医院及医生资质影响,一线城市10000 - 30000元/颗,三线城市8000 - 20000元/颗。建议根据预算、口腔状况、美观需求选方案,务必选正规医院确保安全和效果。 种植牙 2026年03月25日 0 点赞 0 评论 14 浏览
种植牙能管用多少年?揭示长期使用的秘密与维护技巧! 本文围绕种植牙使用时长展开。种植牙通常能维持10年以上甚至终身,但其受多种因素影响。口腔卫生差易引发炎症,缩短使用寿命;吸烟、饮酒和高糖饮食也不利。定期检查、清洁和牙周治疗可延长寿命。患者需保持良好口腔卫生、改变不良生活方式,有异常及时就诊,积极配合维护,让种植牙长久发挥作用。 种植牙 2026年03月25日 0 点赞 0 评论 17 浏览
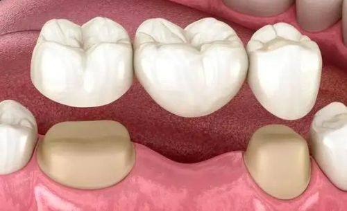
种植牙二期是什么流程?揭秘4个关键步骤! 本文围绕种植牙二期流程展开。术前进行局部麻醉,确保手术无痛。接着切开牙龈暴露种植体,再安装基台连接种植体与牙冠,之后对牙龈塑形以获良好穿龈轮廓。手术时长 30 - 60 分钟,术后 1 - 2 周牙龈愈合可取模。恢复时要注意口腔清洁,避免硬物,若有异常及时复诊,各步骤为成功种植牙奠定基础。 种植牙 2026年03月25日 0 点赞 0 评论 20 浏览
种植牙影响做CT和核磁共振吗?为你详细解答! 本文围绕“种植牙影响做 CT 和核磁共振吗”展开。指出答案与种植牙材料有关,常用的钛及钛合金材料对检查无明显影响,陶瓷材料在 CT 检查可能产生伪影。强调检查前要告知医生种植牙情况,医生会调整参数减少影响。通过实际案例说明做好准备和沟通可降低影响,让做了种植牙的人不必过度担忧,按流程操作能获准确结果。 种植牙 2026年03月25日 0 点赞 0 评论 21 浏览
种植牙后能做头部CT和磁共振吗?告诉你具体真相! 本文围绕种植牙后能否做头部 CT 和磁共振展开。种植牙牙根多采用生物活性材料,不影响检查;上部结构材料不同,对影像质量有影响但不阻碍检查。做磁共振时种植牙稳定安全。检查前要告知医生种植牙情况,金属上部结构可能需取下假牙。不同材料种植牙检查有不同建议,总体而言,种植牙后一般可做相关检查。 种植牙 2026年03月25日 0 点赞 0 评论 19 浏览
牙套一般带几年?告诉你正确的佩戴时间与效果! 这篇文章围绕“牙套一般戴几年”展开,指出佩戴时间受牙齿畸形程度、年龄、矫正方案、个人配合度等因素影响,总体在1 - 3年。青少年矫正周期1 - 2年,成年人需2 - 3年。不同矫正方案时长有别,矫正阶段、复诊与保持器佩戴、辅助操作也会影响时长。建议咨询医生制定方案,积极配合以达良好矫正效果。 牙套 2026年03月25日 0 点赞 0 评论 16 浏览
烤瓷牙和全瓷牙的区别:你该如何选择?揭秘3大要点! 本文详细介绍了烤瓷牙和全瓷牙的区别,为患者选择提供要点。在制作材料、质地、颜色、费用、适用牙齿和对检查的影响等方面,二者各有优劣。全瓷牙美观、对检查无影响,但费用高;烤瓷牙费用亲民、抗裂强,但易崩瓷、影响检查。患者应综合口腔情况、经济状况等因素,做出合适选择。 烤瓷牙 2026年03月25日 0 点赞 0 评论 17 浏览
牙套要带多久才能摘?告诉你真实答案! 文章围绕“牙套要带多久才能摘”展开。一般需佩戴两年左右,摘除后还需戴半年以上保持器巩固效果。牙齿畸形程度、年龄等因素会影响佩戴时间,如畸形轻、年龄小则时间短。想确定佩戴时间,可到口腔医院检查,由医生制定方案。佩戴期间要注意口腔卫生、定期复诊、合理饮食,愿大家都能拥有美牙与自信笑容。 牙套 2026年03月25日 0 点赞 0 评论 17 浏览