龋齿
龋齿列表
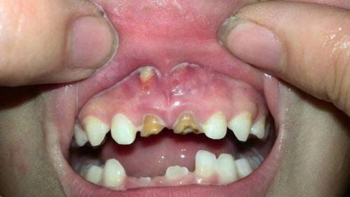
儿童龋齿的治疗方法有哪些?不同程度龋坏对应不同治疗方案!
本文围绕儿童龋齿治疗展开。不同程度龋坏对应不同治疗方案:龋洞小,切削龋坏组织后充填;龋洞大且深达牙髓,需根管治疗并修复牙冠;龋洞侵及牙根或牙槽骨,可能拔牙,乳牙配间隙保持器,恒牙考虑种牙或装义齿。治疗时选正规医院,关注孩子心理。同时强调预防重要性,助孩子养成好习惯,定期检查。
龋齿
2025年12月22日
牙齿表面有黑斑刷不掉?教你检查、治疗办法,还有有效预防措施!
文章围绕牙齿表面黑斑刷不掉的问题展开。先揭示成因,如龋坏、色素沉着、药物影响等;强调要到正规医院用探针探查做专业检查;介绍了龋病治疗、洗牙、美白等治疗方案;给出日常刷牙、窝沟封闭、牙面涂氟等预防措施;还分享减少深色饮品、戒烟、定期检查洁牙等护理妙招,助读者解决黑斑问题,守护牙齿健康。
龋齿
2025年12月19日
龋齿可以自愈吗?长期细菌感染下难自愈,仅早期特例或可再矿化!
本文围绕“龋齿能否自愈”展开探讨。龋齿由细菌分解糖分产酸腐蚀牙釉质形成,一般难以自愈,因牙釉质等受损难自行恢复。早期仅表面矿离子流失、无明显缺损时,在特定条件下或可借助唾液再矿化,但临床少见。判断需找专业医生,有龋齿应改善卫生促再矿化或及时治疗,平时要注意口腔护理。
龋齿
2025年12月19日
8岁小孩牙齿有黑洞和龋齿需要处理吗?门牙与恒牙治疗方式大不同!
本文围绕8岁小孩牙齿有黑洞和龋齿是否需处理展开。8岁孩子处于换牙期,门牙和恒牙易出现问题。门牙有问题基本拔牙即可,恒牙则需补牙,否则危害大,门牙可能疼痛感染,恒牙会影响建合、引发疾病。家长应及时带孩子就医,让医生制定方案,同时培养孩子良好口腔习惯、控糖、定期检查,保障孩子牙齿健康。
龋齿
2025年12月19日
修复龋齿大概多少钱啊?200 - 800元/颗,费用因地区和病情而异!
本文围绕修复龋齿的费用展开。总体来说,修复一颗龋齿费用约 200 - 800 元。低消费地区且病情轻,费用 200 - 300 元;高消费地区或病情重,费用 500 - 800 元。此外,医院、医生、填充材料也影响费用。建议及时治疗、多对比医院,与医生沟通选合适方案,同时重视口腔健康预防龋齿。
龋齿
2025年12月19日
龋齿补牙后一般能维持几年?保养好坏竟让时长相差数年!
本文围绕龋齿补牙后维持时间展开。影响其维持时间的关键因素有窝洞制备、充填情况及患者自身保养。保养良好时,补牙效果能维持五六年甚至七八年;保养不佳则仅能维持月余或几天。建议补牙后做好口腔卫生,勤刷牙、定期洗牙,且避免过度使用修复牙,少吃硬、黏食物,以延长补牙效果维持时间。
龋齿
2025年12月19日
龋齿不治疗会有什么后果?扩大、折断、感染,全身危害太可怕!
本文详细介绍了龋齿不治疗的后果。龋洞会不断扩大,牙齿易折断,还会引发牙周疾病、连累邻牙患龋病。此外,还会影响咀嚼功能,导致消化和营养摄取受影响,严重时细菌经血液传播威胁全身健康。因此,发现龋齿要及时去正规医院治疗,日常保持良好口腔卫生习惯,定期检查,保护口腔健康。
龋齿
2025年12月19日
龋齿易发部位大揭秘!为什么这些牙齿更容易蛀牙?
很多孩子都会面临龋齿的问题,这也常常让家长们感到困扰。家长们最常问的一个问题就是:哪颗牙齿最容易得龋齿? 了解这些信息,有助于做好预防,减少孩子龋齿的发生。今天我们就来为大家解答这个问题。
龋齿
2025年11月05日
蛀牙长期不治会发生什么?了解不治疗的潜在风险
蛀牙问题不容忽视。尽管有些人认为只要牙齿不疼就不需要处理,但这种观点其实是对牙齿健康的误解。蛀牙不及时处理,可能会带来更大的问题。下面,将详细介绍蛀牙不处理的危害以及如何正确处理蛀牙。
龋齿
2025年10月13日
蛀牙烂空了一吸就疼怎么办?能拔了吗?
当牙齿已经出现“烂空”并且一吸就疼的情况时,患者往往会感到困扰和焦虑。正确的治疗选择应根据牙齿的具体状况以及挽救的可能性来确定。以下是对可能的治疗方案的详细讨论与建议。
龋齿
2025年09月02日
